Teeth Whitening Dentist in
Bandra East, Mumbai

Brighten Your Smile with Safe & Effective Teeth Whitening

Stained or dull teeth can lower your confidence. Professional teeth whitening removes deep stains from food, drinks, smoking, and aging to give your smile a brighter, fresher look. At Smile Invent Dental Clinic, teeth whitening treatment in Bandra East is performed using safe, advanced techniques that deliver noticeable results with minimal sensitivity. Achieve a radiant smile and renewed confidence, schedule your teeth whitening session today with our dental expert.

Dental Implants
Dental Implants

Teeth Whitening Dentist in Bandra East

A dull or yellow smile can affect how you feel. Teeth whitening improves the shade of your teeth and helps your smile look clean and bright again. When done by a dental expert, it is a safe and quick treatment.

People searching for a teeth whitening dentist in Bandra East often choose Smile Invent Dental Clinic. Teeth whitening is personally done by Dr. Boskey Panikar and Dr. Arjun Panikar, experienced dentists known for gentle care. Modern tools and careful techniques are used to keep discomfort and sensitivity low. The procedure is explained clearly, and pricing is straightforward with no surprises.

Home remedies usually give short-term or uneven results. Professional teeth whitening gives better, even color that lasts longer.

Ready to brighten your smile? Call us today or book online.

What is Teeth Whitening?

People often notice their teeth becoming yellow or dull over time. Teeth whitening is a dental treatment that helps improve the natural color of teeth by removing stains caused by food, drinks, smoking, and aging.

The procedure uses safe whitening materials applied by a dentist to gently lighten the teeth without harming the enamel. Teeth whitening helps make your smile look brighter, cleaner, and more refreshed, boosting confidence in everyday life.

Many people worry that teeth whitening can harm their teeth. In reality, professional teeth whitening is safe when done by a dentist. The treatment is comfortable, takes very little time, and shows quick results. In many cases, visible improvement can be seen in just one visit, helping you smile with more confidence.

Scaling and Root Planing
Teeth Cleaning

What causes teeth discoloration?

Teeth discoloration can happen for many common reasons. Teeth may slowly change color over time due to daily habits, aging, or health-related factors. Stains can develop on the surface or from inside the tooth, making your smile look dull or yellow. Professional teeth whitening can safely improve tooth color and restore a brighter smile.

Common Causes:

  • Tobacco use – Smoking or chewing tobacco leaves yellow or brown stains.
  • Aging – The outer enamel becomes thinner, making teeth appear yellow.
  • Medications – Some medicines can change tooth color over time.
  • Genetics – Some people naturally have slightly darker teeth.
  • Poor oral hygiene – Plaque buildup from improper cleaning causes stains.
  • Food and drinks – Tea, coffee, soft drinks, and colored foods stain teeth.
  • Certain diseases – Some health conditions can affect tooth color.
BOOK MY FREE CONSULTATION

25k+

Happy Patients
Treated

10k+

Advanced Dental
Procedures Completed

24+

Years Trusted
Dental Experience

5.0

Google Rating Highly
Rated by Our Patients

Types of Teeth Whitening Treatments

There are a few simple ways to whiten teeth, and the right option depends on how dark the stains are and how fast you want results. Your dentist can guide you on the treatment that will work best for your teeth.

Teeth Cleaning

Professional Teeth Whitening

Professional Teeth Whitening (At the Clinic)

This whitening treatment is done at the dental clinic by a dentist. A strong whitening gel is used to remove deep stains from the teeth. Many people notice visible results in just one visit. The dentist monitors the process closely to keep it safe and comfortable.

Teeth Cleaning

Take-Home Whitening Kits from the Dentist

Take-Home Whitening Kits from the Dentist

Some people prefer whitening at home. In this case, the dentist gives you custom trays and whitening gel. You use them as instructed for a few days or weeks. Results show slowly but are better than regular store-bought products.

Teeth Cleaning

Store-Bought Whitening Products

Store-Bought Whitening Products

These include whitening toothpaste, strips, and gels. They may help with light stains but take more time to work. The results are usually mild and not long-lasting.

Teeth Whitening Procedure – Step by Step

Teeth whitening is an easy dental treatment and usually takes just one clinic visit. The exact steps may change a little for each person, but the process is generally like this. Some people try teeth whitening strips at home, but professional whitening at a dental clinic gives safer, faster, and more even results.

Step 1: Teeth Check

Initial Consultation

The dentist checks your teeth and gums to see if whitening is suitable for you. Tooth stains and sensitivity are also checked.

Step 2:Gum Protection

Planning the Treatment

Before starting, the dentist protects your gums and soft tissues using a special gel or cover. This helps prevent irritation.

Step 3: Whitening Gel Application

Preparing Your Mouth

The whitening gel is applied to your teeth. Sometimes, a special light or laser is used to help the gel work faster.

Step 4: Whitening Time

Performing the Procedures

Each whitening round lasts about 10 to 15 minutes. Based on the stains, two or three rounds may be done in one visit.

Step 5: Final Results & Care Tips

Follow-Up and Care

After whitening, the dentist checks the results and gives simple tips to help keep your teeth bright for longer.

Dental Implants

Benefits of Teeth Whitening

Teeth whitening is a simple way to improve the look of your smile. It helps remove stains and makes your teeth look cleaner and brighter, which can boost your confidence.

Benefits include:

  • Makes teeth look whiter and brighter
  • Improves overall smile appearance
  • Boosts self-confidence in daily life
  • Safe and non-invasive dental treatment
  • Quick results, often in one visit
  • Helps remove stains from food, drinks, and smoking
  • Professional care ensures even and long-lasting results

Why Choose Us for Teeth Whitening?

At Smile Invent Dental Clinic, the goal is to help you get a brighter smile in a safe and comfortable way. Patient comfort, clear results, and honest advice are always important.

Teeth whitening is done by experienced dentists, Dr. Boskey Panikar and Dr. Arjun Panikar, using safe and approved methods. Modern tools are used to give even and natural results, while gentle care helps reduce tooth sensitivity. Everything is explained in simple words before starting. The pricing is clear with no hidden charges, and the clinic is clean, calm, and friendly for patients.

Dental Implants

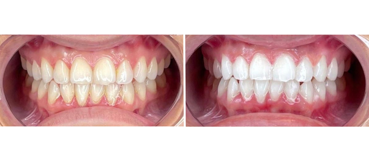
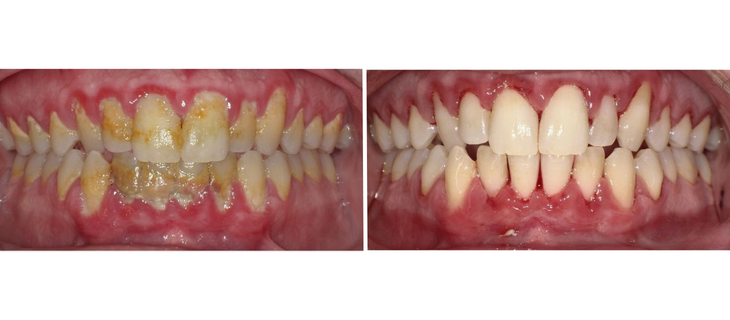
Before And After

Teeth Cleaning
Teeth Cleaning
Teeth Cleaning
Teeth Cleaning

Your Healthier Smile Starts Here

Expert dental care. Trusted by thousands of patients.

+91 97690 52288
Dental Doctors

Testimonials

I had a great experience at Smile Invent Dental Clinic with Dr. Arjun Panikar and Dr. Boskey Panikar. I underwent wisdom tooth extraction, teeth cleaning, and whitening, and also consulted them for aligners. The clinic is modern, hygienic, and the doctors explain everything clearly. I felt comfortable and well cared for throughout the entire process.

Gaurav Garg

G

I got my teeth whitening done at Smile Invent Dental Clinic and the results were amazing. Dr. Boskey Panikar explained the entire process clearly and made sure I was comfortable throughout. The treatment was quick and completely painless. My teeth look noticeably brighter now.

Mehul Shah

M

Had my teeth whitening treatment done by Dr. Boskey Panikar at Smile Invent Dental Clinic. The procedure was smooth and the doctor explained each step clearly. I noticed a visible difference in my smile after the treatment. Highly recommend the clinic for cosmetic dental care.

Karan Bhatia

K

Visited Smile Invent Dental Clinic for teeth whitening and I’m very satisfied with the results. The procedure was quick, painless, and done with great care. Dr. Boskey Panikar and the team were very friendly and professional. I would definitely recommend them.

SK

S

FAQ’s

  1. Yes, yellow teeth can become white again with professional teeth whitening. The treatment removes stains and improves the natural colour of your teeth, making your smile brighter.

  2. The cost of teeth whitening in Mumbai depends on the type of treatment and the level of staining. Your dentist will explain the best option and the exact cost during your visit.

  3. Teeth whitening results can last from a few months to over a year. This depends on your food habits, smoking, and how well you take care of your teeth.

  4. Professional teeth whitening done at a dental clinic gives the best and safest results. Your dentist will suggest the right method based on your teeth condition.

  5. Teeth whitening is safe when done by a dentist. Some people may feel mild sensitivity, but it usually goes away in a short time.

Latest Dental News & Patient Guides

Stay Informed About Your Oral Health

Expert tips, treatment guides, and answers from our dental team

 Digital Dentistry

What Are Dentures? Types, Procedure, Benefits & Ri...

Losing teeth can change your life in small but frustrating w...

Read More
 Digital Dentistry

What is Dental Bonding? Procedure, Benefits & Typ...

A small chip in your front tooth, a tiny gap that shows when...

Read More
 Digital Dentistry

Can You Go to the Dentist While Pregnant? Safety,...

Can you go to the dentist while pregnant? Many expecting mot...

Read More
 Digital Dentistry

Is Caffeine Bad for Your Teeth? A Dentist’s Guide...

If your day doesn’t start without tea or coffee, you’re not...

Read More
COMFORTABLE CARE • EXPERIENCED DENTISTS • TRUSTED BY PATIENTS

Your Healthy Smile Is Just One
Appointment Away

Our experienced dental team provides gentle, personalized care using modern techniques – so you can feel confident, comfortable, and well-informed at every visit.

Root Canal Doctor