Dental Implants in
Bandra East, Mumbai

Strong, Natural Teeth Replacement That Lasts

A healthy smile helps you feel confident while talking, eating, and enjoying everyday moments. When teeth are missing, dental implants offer a dependable solution that feels close to natural teeth. At Smile Invent Dental Clinic, a trusted dental implant dentist in Bandra East provides gentle and well-planned treatment using modern dental methods. Each implant is placed with care to improve comfort, function, and appearance. Designed for long-term stability, dental implants help you return to your normal routine without discomfort. Take the next step toward a complete smile by booking an appointment online or calling us today.

Dental Implants
Dental Implants

Dental Implants Dentist in Bandra East

Dental implant treatment needs the right care and experience. At Smile Invent Dental Clinic, our dentist takes time to understand your dental needs and suggests implant solutions that feel comfortable and fit your daily life. Before starting the treatment, we check your jawbone, gums, and overall oral health. This helps make sure the implant is safe, strong, and suitable for you.

Whether you are missing one tooth or several teeth, the aim is to give you teeth that look natural, feel secure, and help you eat and smile with confidence. We use modern tools and safe techniques so the treatment stays smooth and comfortable.

If you are searching for a reliable dental implants dentist in Bandra East, our team is here to guide you through every step and help you feel confident about your smile again.

What Are Dental Implants?

Dental implants are a fixed and reliable way to replace missing teeth. They act like the root of a natural tooth and are placed into the jawbone by a dentist that do dental implants using safe and proven techniques. After proper healing, a tooth cap is fixed on top, which lo oks and feels like a real tooth.

Because implants are firmly placed, they do not move while eating or talking. They also help keep the jawbone strong and support nearby teeth. Dental implants can replace one missing tooth or multiple teeth, helping you enjoy a strong, natural-looking smile for many years.

Scaling and Root Planing
Teeth Cleaning

Why Choose Dental Implants for Missing Teeth?

Missing teeth can affect more than just your smile. They can make eating harder and speaking uncomfortable. Dental implants offer a long-term solution that feels natural and fits into your daily life.

Why many people prefer dental implants:

  • They stay fixed in place and do not slip or move
  • They look and feel like natural teeth
  • They help you chew food comfortably
  • They support the jawbone and prevent bone loss
  • They do not affect nearby healthy teeth
  • They are made to last for many years with proper care
BOOK MY FREE CONSULTATION

25k+

Happy Patients
Treated

10k+

Advanced Dental
Procedures Completed

24+

Years Trusted
Dental Experience

5.0

Google Rating Highly
Rated by Our Patients

Types of Dental Implants We Offer

Dental implant treatment is different for every person. The right option depends on how many teeth are missing, the health of your jawbone, and how you want your teeth to feel in daily life. At our clinic, the best dentist for implants takes time to understand your needs and explains each implant option in simple words, so you can make a confident and informed choice that suits you best.

 Single Tooth Implant

Single Tooth Implant

Single Tooth Implant

This treatment is used when one tooth is missing. A small implant is placed in the jaw, and a crown is fixed on top after healing. It looks and works like a natural tooth. Nearby teeth are left untouched, helping them stay healthy.

Multiple Teeth Implants

Multiple Teeth Implants

Multiple Teeth Implants

When a few teeth are missing next to each other, implants can be used to support a fixed bridge. This gives better strength than removable options and feels more secure while eating and speaking. It also helps keep the jawbone strong.

Full Mouth Dental Implants

Full Mouth Dental Implants

Full Mouth Dental Implants

For people who have lost most or all of their teeth, full mouth dental implants offer a stable and long-term solution. A full set of fixed teeth is supported by implants, so there is no slipping or discomfort. You can eat most foods comfortably and smile with confidence again.

All-on-4 Dental Implants

All-on-4 Dental Implants

All-on-4 Dental Implants

All-on-4 dental implants use four implants to support a full arch of teeth. This option is helpful when bone support is limited or when you want a fixed solution with fewer implants. It gives strong support and quicker results compared to traditional full mouth implants.

Implant Supported Denture Treatment

Implant-Supported Dentures

Implant-Supported Denture Treatment

This treatment combines implants with dentures for better stability. The denture is fixed onto implants, so it does not move while talking or eating. It feels more comfortable than regular dentures and gives better control during daily activities.

Dental Implant Procedure – Step by Step

Dental implant treatment is planned in simple stages, but the exact steps depend on your dental condition. Your jawbone health, missing teeth, and healing needs are carefully considered so the treatment suits you and heals properly. Each step is explained clearly before moving ahead.

Step 1: Personal Consultation

Personal Consultation

The process begins with a detailed dental check-up. The dentist examines your teeth, gums, and jawbone to understand your specific needs. If a tooth removal is required before placing the implant, this is discussed with you at this stage so you know what to expect.

Step 2: Customized Treatment Planning

Customized Treatment Planning

X-rays and digital scans are taken to study your bone strength and gum condition. Based on these reports, the dentist creates a treatment plan designed especially for you, choosing the right implant type and placement method.

Step 3: Preparation (Only If Needed)

Preparation If Needed

Some patients may need extra support before implant placement. If your jawbone is not strong enough, a bone graft may be suggested. This step is recommended only when needed to make sure the implant stays stable for the long term.

Step 4: Implant Placement

Implant Placement

After numbing the area, the titanium implant is placed into your jawbone with care and precision. The procedure is done gently to keep you comfortable. Healing time is given based on how your body responds, allowing the implant to bond properly with the bone.

Step 5: Final Tooth Placement

Final Tooth Placement

Once healing is complete, a connector is attached, followed by a custom-made crown or bridge. This final tooth is designed to match your natural teeth in shape and color, restoring both function and appearance.

Personal Consultation

Who Is a Good Candidate for Dental Implants?

Dental implants are a strong option for people missing one or more teeth. Your dentist will evaluate certain factors to ensure safe and long-lasting results.

Ideal candidates have healthy gums and enough jawbone to support the implant. Good overall health and proper healing ability are also important. Maintaining regular brushing and dental check-ups improves success.

Dentists usually look for:

  • Healthy gums – Free from active gum disease to reduce infection risk.
  • Adequate jawbone – Enough bone to hold the implant securely. Bone grafting may help if needed.
  • Good overall health – Well-controlled medical conditions support healing.
  • Good oral hygiene – Proper care helps implants last longer.
  • Non-smoker or willing to quit – Avoiding tobacco improves healing and success rates.

Even if you don’t meet every condition now, treatments like gum therapy or bone grafts can make implants possible. A consultation will help determine the best solution for your smile.

BOOK MY FREE CONSULTATION

Benefits of Dental Implant Treatment

Dental implants are chosen by many people because they offer comfort, strength, and a natural feel. They are designed to replace missing teeth in a way that fits easily into everyday life.

Key benefits of dental implant treatment:

  • Feel and function like natural teeth
  • Stay fixed in place without slipping
  • Make eating and chewing easier
  • Improve speech and confidence
  • Help keep the jawbone strong
  • Do not affect nearby healthy teeth
  • Long-lasting solution with proper care
Scaling and Root Planing
Scaling and Root Planing

Why Choose Us for Dental Implants?

Choosing the right clinic for dental implant treatment matters because experience and planning play a big role in long-term results. At Smile Invent Dental Clinic, your care is led by Dr. Boskey Panikar, Periodontist & Cosmetic Dentist, and Dr. Arjun Panikar, Periodontist & Oral Implantologist. Together, they bring over 13 years of combined experience in implant care.

Our dental implant dentist team takes time to understand your dental needs and explains every step in simple words. We use modern tools, follow safe practices, and keep costs clear from the start. The focus is always on comfort, natural-looking results, and teeth that feel right in daily life and last for years.

Dental Implants vs Other Tooth Replacement Options

When a tooth is missing, there are a few ways to replace it. The most common options are dental implants, bridges, and dentures. Each one works differently, so it helps to understand how they compare in daily life.

Scaling and Root Planing

Dental Implants vs Dental Bridges

Dental implants are fixed into the jawbone and work like a natural tooth root. They stay strong and do not depend on nearby teeth for support. Bridges are held in place by the teeth next to the gap, which means those healthy teeth often need to be trimmed. Implants usually last longer and help keep the jawbone healthy, while bridges may need replacement after some years.

Dental Implants vs Dentures

Dentures are removable and rest on the gums. They are a common option, but they can feel loose or move while eating or talking. Dental implants are fixed and stay in place, so they feel more like real teeth. They also make chewing easier and help keep the jawbone strong, which dentures do not do.

The best option depends on your comfort, oral health, and long-term needs. A dental check-up can help you decide what suits you best.

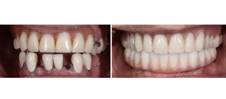
Before And After

Teeth Cleaning
Teeth Cleaning
Teeth Cleaning
Teeth Cleaning

Your Healthier Smile Starts Here

Expert dental care. Trusted by thousands of patients.

+91 97690 52288
Dental Doctors

Testimonials

I had an excellent experience at Smile Invent Dental Clinic. Dr. Arjun Panikar, Dr. Boskey Panikar, and the team handled my dental implants along with other procedures like root canal, cavity filling, and extraction very smoothly. The treatments were comfortable and well explained. Highly recommend the clinic for advanced and reliable dental care.

Supriya S

S

I had a wonderful experience with Dr. Arjun Panikar for my dental implant. The procedure was precise, painless, and handled very professionally, and the implant feels just like a natural tooth. Dr. Boskey Panikar also provides excellent cleaning and maintenance care. Smile Invent is a trusted clinic that my entire family relies on for dental treatments.

Jasmine Jhaveri

J

I am currently undergoing aligner and dental implant treatment with Dr. Arjun Panikar at Smile Invent Dental Clinic. The care and attention to detail throughout the process have been impressive. The team is professional and supportive at every step. Overall, it has been a very positive experience.

Sarah Kutiyanawala

S

FAQs

  1. Dental implants are usually done after jaw growth is complete, which is around 18 years of age. There is no upper age limit. As long as your gums and jawbone are healthy, implants can be done even at an older age.

  2. Yes, dental implants are safe and widely used. They are made from materials that are accepted by the body. When placed by an experienced dentist and cared for properly, implants are a reliable option for missing teeth.

  3. Dental implant failure is rare, but it can happen in some cases. Poor oral hygiene, smoking, or health issues can affect healing. Regular dental visits and good daily care help reduce this risk.

  4. With proper care, dental implants can last many years and often a lifetime. Brushing, flossing, and routine dental check-ups play a big role in keeping them strong.

  5. Most people feel little to no pain during the procedure because the area is numbed. Some mild soreness or swelling after the treatment is normal and settles in a few days with proper care.

Latest Dental News & Patient Guides

Stay Informed About Your Oral Health

Expert tips, treatment guides, and answers from our dental team

 Digital Dentistry

What Are Dentures? Types, Procedure, Benefits & Ri...

Losing teeth can change your life in small but frustrating w...

Read More
 Digital Dentistry

What is Dental Bonding? Procedure, Benefits & Typ...

A small chip in your front tooth, a tiny gap that shows when...

Read More
 Digital Dentistry

Can You Go to the Dentist While Pregnant? Safety,...

Can you go to the dentist while pregnant? Many expecting mot...

Read More
 Digital Dentistry

Is Caffeine Bad for Your Teeth? A Dentist’s Guide...

If your day doesn’t start without tea or coffee, you’re not...

Read More
COMFORTABLE CARE • EXPERIENCED DENTISTS • TRUSTED BY PATIENTS

Your Healthy Smile Is Just One
Appointment Away

Our experienced dental team provides gentle, personalized care using modern techniques – so you can feel confident, comfortable, and well-informed at every visit.

Root Canal Doctor