Full Mouth Dental Implants in Bandra East, Mumbai

Permanent Solution to Replace Missing Teeth and Restore Your Smile

Losing many teeth can affect eating, speaking, and confidence. Full mouth dental implants offer a long-term solution by replacing missing teeth with fixed, natural-looking teeth that feel stable and comfortable. At Smile Invent Dental Clinic, we provide planned and reliable full mouth dental implants in Bandra East to help restore function and appearance.

This treatment is designed for people who want a strong and lasting alternative to dentures. If you are looking for details about the cost of full mouth dental implants or exploring affordable full mouth dental implants, the entire process and pricing are explained clearly in simple words — book your appointment today by calling now or scheduling online.

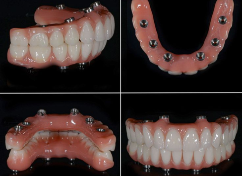
Full Mouth Dental Implants
Full Mouth Dental Implants in Bandra

Full Mouth Dental Implants in Bandra

Full mouth dental implants are a long-term solution for replacing all missing teeth and restoring proper chewing and speech. They provide fixed teeth that stay stable and feel close to natural teeth.

At Smile Invent Dental Clinic, full mouth dental implants in Bandra East are planned after checking bone strength and overall oral health. The treatment process is explained in easy words, so you know what to expect at every stage and can make a confident decision.

What is a Full Mouth Dental Implant?

A full mouth dental implant is a treatment designed for people who have lost most or all of their teeth. Instead of removable dentures, this method uses dental implants placed in the jawbone to support a fixed set of teeth. These implants act like natural tooth roots and hold the new teeth firmly in place.

The biggest difference you’ll notice is stability. The teeth don’t move while eating or speaking, so daily activities feel normal again. Full mouth dental implants also help maintain jawbone strength, which can reduce the sunken look that sometimes happens after tooth loss.

This treatment is planned carefully based on bone health, gum condition, and overall oral health. Many people consider it when looking into the cost of full mouth dental implants because it offers a long-term solution that looks natural, feels comfortable, and improves quality of life.

Full Mouth Dental Implant
Why Do You Need Full Mouth Dental Implants?

Why Do You Need Full Mouth Dental Implants?

  • Replace all missing teeth with a fixed and stable solution
  • Make eating and chewing comfortable again
  • Improve speech clarity and confidence while talking
  • Avoid loose or uncomfortable removable dentures
  • Support the jawbone and help prevent bone loss
  • Restore a natural-looking smile and facial balance
  • Provide a long-term solution for complete tooth loss

Procedure of Getting Full Mouth Dental Implants

Full mouth dental implant treatment is done in planned stages to replace all missing teeth safely and comfortably. Each step is explained clearly so you know what to expect throughout the process.

Step 1: Consultation and Examination

Full Mouth Dental Implants

The process starts with a detailed check of your teeth, gums, and jawbone. X-rays or scans are taken to understand bone strength and plan implant placement properly.

Step 2: Treatment Planning

Full Mouth Dental Implants

A personalized treatment plan is created based on your oral condition. This includes the number of implants needed, the timeline, and the type of teeth to be placed.

Step 3: Implant Placement

Full Mouth Dental Implants

Dental implants are placed into the jawbone under proper care and numbing. These implants act as strong roots for the new teeth.

Step 4: Healing and Integration

Full Mouth Dental Implants

After placement, time is given for the implants to bond with the jawbone. This healing phase helps create a strong and stable base for the teeth.

Step 5: Placing the Final Teeth

Full Mouth Dental Implants

Once healing is complete, a fixed set of teeth is attached to the implants. The fit, bite, and comfort are checked carefully.

Step 6: Aftercare and Follow-up

Full Mouth Dental Implants

Care instructions are shared to help maintain the implants. Regular follow-ups ensure the implants stay healthy and comfortable.

Benefits of Full Mouth Dental Implants

Benefits of Full Mouth Dental Implants

Full mouth dental implants offer a stable and long-term solution for replacing missing teeth. They improve comfort, function, and overall quality of life.

Benefits of Full Mouth Dental Implants:

  • Fixed teeth that do not move while eating or speaking
  • Improve chewing strength and food choices
  • Help maintain jawbone health and facial structure
  • Feel closer to natural teeth compared to dentures
  • Improve speech clarity
  • Boost confidence with a natural-looking smile
  • Long-lasting and reliable solution

25k+

Happy Patients
Treated

10k+

Advanced Dental
Procedures Completed

24+

Years Trusted
Dental Experience

5.0

Google Rating Highly
Rated by Our Patients

Why Choose Us for Full Mouth Dental Implants?

Full mouth dental implants need proper planning and experienced care. At Smile Invent Dental Clinic, Dr. Boskey Panikar and Dr. Arjun Panikar focus on providing implant treatment that feels stable, comfortable, and natural.

Each case is checked carefully before treatment starts, including bone strength and gum health. The entire process is explained in easy words, so you know what will happen at every step. Modern tools and safe techniques are used to place implants accurately and securely.

From the first visit to final teeth placement and follow-ups, the focus stays on comfort, clarity, and long-lasting results, helping you eat, speak, and smile with confidence again.

Full Mouth Dental Implants

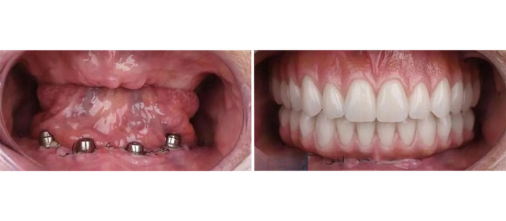
Before And After

Full Mouth Dental Implants
Full Mouth Dental Implants
Full Mouth Dental Implants
Full Mouth Dental Implants

Your Healthier Smile Starts Here

Expert dental care. Trusted by thousands of patients.

+91 97690 52288
Full Mouth Dental Implants Doctors

Testimonials

I underwent full mouth dental implant treatment at Smile Invent Dental Clinic and the experience was excellent. Dr. Arjun Panikar explained the entire process in detail and made sure I was comfortable throughout. The results look very natural and my confidence has improved greatly. I’m extremely happy with the treatment.

Rajesh Mehta

R

I chose Smile Invent Dental Clinic for full mouth dental implants and it was the right decision. Dr. Arjun Panikar and the team handled the treatment with great care and professionalism. The clinic is modern and well equipped. I can now eat and smile comfortably again.

Sunita Shah

S

My full mouth dental implant treatment at Smile Invent Dental Clinic was handled very smoothly. Dr. Arjun Panikar guided me through every stage and answered all my questions patiently. The entire process was well planned and comfortable. I’m very satisfied with the results.

Kunal Bhatia

K

I had a wonderful experience getting full mouth dental implants at Smile Invent Dental Clinic. The doctors were very supportive and explained every step clearly. The final outcome looks natural and feels very stable. Highly recommend the clinic for advanced dental treatments.

Neha Kapoor

N

FAQ’s

  1. Full mouth dental implants are suitable for people who have lost most or all of their teeth and have healthy gums and enough jawbone. A consultation helps confirm if this treatment is right for you.

  2. The procedure is done under proper numbing, so pain is minimal. Some discomfort may be felt after the procedure, but it usually settles with medication and rest.

  3. The total treatment time depends on healing and individual bone condition. It may take a few months from implant placement to final teeth fitting.

  4. Yes, implants are fixed and more stable than dentures. They feel more natural, make eating easier, and do not slip while speaking.

  5. With good oral care and regular dental visits, full mouth dental implants can last many years and often a lifetime.

  6. The cost varies based on the number of implants, type of teeth used, and individual case needs. During consultation, the cost is explained clearly based on your treatment plan.

Latest Dental News & Patient Guides

Stay Informed About Your Oral Health

Expert tips, treatment guides, and answers from our dental team

 Digital Dentistry

Titanium Dental Implants: Benefits, Procedure & Si...

Missing teeth can make everyday life uncomfortable. Eating b...

Read More
 Digital Dentistry

What is a Dental Crown? Types, Benefits & Procedur...

A damaged or weak tooth can make even simple things like eat...

Read More
 Digital Dentistry

What Are Clear Aligners? A Complete Beginner’s Gui...

Getting a straight smile is something many people want, but...

Read More
 Digital Dentistry

What is Scaling and Root Planing? A Complete Guide...

Healthy gums don’t usually get much attention. Most people f...

Read More
COMFORTABLE CARE • EXPERIENCED DENTISTS • TRUSTED BY PATIENTS

Your Healthy Smile Is Just One
Appointment Away

Our experienced dental team provides gentle, personalized care using modern techniques – so you can feel confident, comfortable, and well-informed at every visit.

Full Mouth Dental Implants Doctor