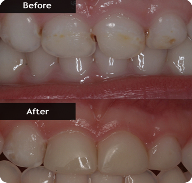
Child Dental Exam and Cleaning
Building Healthy Smiles from the Start
Regular dental exams and cleanings are the cornerstone of your child’s oral health. These preventive visits ensure proper development, catch issues early, and teach lifelong healthy habits.
