Root Canal Dentist in
Bandra East, Mumbai

Comfortable Root Canal Treatment to Relieve Tooth Pain

If tooth pain, sensitivity, or infection is bothering you, a timely root canal can save your tooth and bring lasting relief. At Smile Invent Dental Clinic, an experienced root canal dentist in Bandra East provides gentle, comfortable treatment so you can get back to your routine without discomfort – book your appointment today by calling now or scheduling online.

Root Canal
Root Canal

Dentist for Root Canal Treatment in Bandra East

Tooth pain or infection making life tough? When it reaches deep inside the tooth, root canal treatment cleans it out and saves the tooth. Early treatment with a root canal dentist in Bandra East prevents bigger problems.

Many patients searching for a root canal dentist near Bandra choose Smile Invent Dental Clinic. Dr. Boskey Panikar and Dr. Arjun Panikar (best endodontists in Bandra East) handle all root canals, including complex cases. Proper anesthesia, modern tools, and clear explanations make it comfortable. Fair pricing, no surprises.

Painkillers only work temporarily. Root canal removes the infection completely so pain doesn't return. Crowns can be done here too when needed.

Ready when you are – call or book online.

What is Root Canal Treatment (RCT)?

Most people only think about root canals when tooth pain gets unbearable. But it's actually a simple procedure to save your natural tooth when the inside gets infected.

Every tooth has a soft center called pulp with nerves and blood vessels. Deep decay, cracks, or old fillings can damage it, letting bacteria in and causing pain or swelling. A dentist that does root canals removes the infected pulp, cleans the inside, seals it up, and your tooth works normally again.

The biggest myth? Root canals hurt. Truth is, they're done with local anesthesia so you feel little to no pain – just pressure at most. The real pain was from the infection you had before. Most need just 1-2 visits, and a crown often goes on top to protect it long-term

Root Canal
Root Canal

Why is the Root Canal Needed?

A root canal becomes necessary when infection deep inside your tooth can't be fixed with a simple filling anymore. This happens from ignored decay that goes too deep, a cracked tooth from injury, or an old filling that lets bacteria sneak back in.

You'll notice sharp pain, swelling, sensitivity to hot/cold, or discomfort chewing. Sometimes the pain fades but the infection keeps growing silently. Left untreated, it spreads to gums and bone, making things much worse.

A root canal dentist thoroughly cleans the infected pulp (that's the root cleaning dentists part of the job), seals the tooth, and saves it from extraction. Without this, pulling the tooth affects chewing and shifts nearby teeth. Root canal stops pain at the source and keeps your natural smile intact.

Noticing these symptoms? Schedule a check-up today.

BOOK MY FREE CONSULTATION

25k+

Happy Patients
Treated

10k+

Advanced Dental
Procedures Completed

24+

Years Trusted
Dental Experience

5.0

Google Rating Highly
Rated by Our Patients

Types of Root Canal Treatment

Root canal treatment can be done in different ways based on the condition of the tooth. In most cases, a normal root canal is enough to treat the infection. In a few situations, a surgical procedure may be needed to fully clear the problem. After checking the tooth properly, we choose the treatment that is best for you.

Non-Surgical Root Canal

Non-Surgical Root Canal Treatment

Non-Surgical Root Canal Treatment

This is the most common form of root canal treatment. The infection is treated by cleaning the canals from inside the tooth, without any cutting on the gums. It is usually done for teeth affected by deep cavities, infection, or damaged pulp. Most root canal problems can be treated without surgery, especially when the issue is identified on time.

Surgical Root Canal

Surgical Root Canal Treatment

Surgical Root Canal Treatment

Surgical root canal treatment is needed only in a few cases. It is advised when the infection cannot be fully removed through the normal root canal method. This may happen if the infection is present at the tip of the root or if the tooth has a complex root structure. In this procedure, a small opening is made in the gum near the root to clean the infected area and help the tooth heal properly.

Root Canal Treatment Procedure – Step-By-Step

Most people get nervous about root canals because the process feels mysterious. Truth is, it's just a few straightforward steps to clean out infection and stop the pain. Here's exactly what happens when you visit a dentist who does root canals at Smile Invent Dental Clinic.

Quick Check + X-Ray

Root Canal

We look at your tooth and take a digital X-ray to see how deep the problem goes. If needed, local anesthesia is given to keep you comfortable.

Access The Inside

Root Canal

The dentist creates a small opening to reach the infected pulp inside the tooth safely.

Clean Those Root Canals

Root Canal

All infected tissue is carefully removed and the root canals are thoroughly cleaned and disinfected.

Seal It Up Tight

Root Canal

The cleaned canals are sealed to prevent bacteria from entering again.

Restore Your Tooth

Root Canal

A crown or filling restores strength and function, letting you chew normally again.

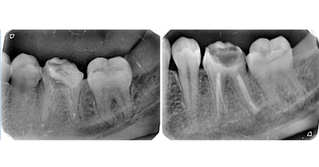
Before And After

Root Canal
Root Canal
Root Canal
Root Canal
Root Canal
Root Canal

Your Healthier Smile Starts Here

Expert dental care. Trusted by thousands of patients.

+91 97690 52288
Dental Doctors
Root Canal

Why Choose Us for Root Canal Treatment?

Root canals don't have to be stressful when you go to the right place. At Smile Invent Dental Clinic, Dr. Boskey Panikar and Dr. Arjun Panikar make it straightforward – their goal is getting you pain-free while saving your natural tooth.

They check your tooth thoroughly with X-rays, explain everything in plain words (no confusing jargon), and use modern rotary tools with proper numbing. Every instrument is sterilized properly, so you know it's safe and comfortable.

Patients keep coming back because they actually listen, answer questions, and follow up after treatment. From walking in nervous to walking out relieved – that's what they do every day.

Testimonials

I had a fantastic experience at Smile Invent Dental Clinic. My root canal treatment and crowns were done by Dr. Boskey Panikar, and my smile design was completed by Dr. Arjun Panikar. The entire process was painless, and every step was clearly explained with regular follow-ups, which helped ease my anxiety. The clinic is hygienic, appointments were timely, and the staff is kind and professional. What I usually fear turned into a very positive experience.

Vakta Tanna

V

After two failed root canal treatments elsewhere, I was worried I might lose my tooth due to recurring infection. Dr. Boskey carefully examined my case and suggested a re-root canal instead of an implant. The procedure was done with great precision, and the crown fitting feels completely natural. She explained everything clearly and avoided unnecessary treatments. Thanks to her expertise, my pain is gone and my tooth has been saved.

CK

C

I’m extremely thankful to Smile Invent Dental Clinic for the care and expertise I received. I had delayed my root canal for almost a year, and the chances of saving the tooth were low. However, Dr. Boskey, Dr. Arjun, and Dr. Megha handled my case with great skill and ensured my tooth was preserved. The procedure was painless, especially the injection, which was done very gently. I’m truly impressed and highly recommend the clinic.

Bhumika Mirgh

B

FAQs

  1. A root canal can last for many years. With good oral care and a crown, the tooth often lasts a lifetime.

  2. Avoid chewing hard foods on the treated tooth until it is fully restored. Follow the dentist’s instructions and do not delay the crown if advised.

  3. Root canal treatment is safe. Problems are rare and usually happen if aftercare is ignored or the tooth is not sealed properly.

  4. For kids, the dentist treats the tooth gently and based on the child’s age and tooth condition. The aim is to remove infection and reduce pain safely.

  5. A root canal does not need replacement unless the tooth gets infected again. With proper care, retreatment is usually not needed.

Latest Dental News & Patient Guides

Stay Informed About Your Oral Health

Expert tips, treatment guides, and answers from our dental team

 Digital Dentistry

Titanium Dental Implants: Benefits, Procedure & Si...

Missing teeth can make everyday life uncomfortable. Eating b...

Read More
 Digital Dentistry

What is a Dental Crown? Types, Benefits & Procedur...

A damaged or weak tooth can make even simple things like eat...

Read More
 Digital Dentistry

What Are Clear Aligners? A Complete Beginner’s Gui...

Getting a straight smile is something many people want, but...

Read More
 Digital Dentistry

What is Scaling and Root Planing? A Complete Guide...

Healthy gums don’t usually get much attention. Most people f...

Read More
COMFORTABLE CARE • EXPERIENCED DENTISTS • TRUSTED BY PATIENTS

Your Healthy Smile Is Just One
Appointment Away

Our experienced dental team provides gentle, personalized care using modern techniques – so you can feel confident, comfortable, and well-informed at every visit.

Root Canal Doctor