Teeth Braces Treatment in Bandra East, Mumbai

Straighten Your Teeth with Comfortable and Effective Braces

Crooked or uneven teeth can affect your smile and bite. Teeth braces help align teeth properly and improve overall oral health. At Smile Invent Dental Clinic, we provide safe and personalised teeth braces treatment in Bandra East for teens and adults.

Whether you’re looking for ceramic braces or checking teeth braces cost, the treatment is explained clearly in simple words. If you’re searching for a braces dentist near you or a dentist for braces near you, our clinic focuses on comfort, proper planning, and long-term results — book your appointment today by calling now or scheduling online.

Teeth Braces Treatment
Teeth Braces Treatment

Teeth Braces Treatment in Bandra

Teeth braces treatment helps correct crooked, crowded, or uneven teeth and improves how your bite works. Properly aligned teeth are easier to clean and help maintain better oral health.

People looking for teeth braces treatment in Bandra East often visit Smile Invent Dental Clinic for clear guidance and planned care. The type of braces is suggested after checking tooth alignment and jaw position. The process is explained step by step, so you know what to expect throughout the treatment.

What are Dental Braces?

Dental braces, also known as teeth braces, are orthodontic devices used to straighten teeth and correct bite problems. They work by applying gentle, steady pressure to move teeth into proper alignment over time.

Teeth braces help fix issues like crooked teeth, gaps, crowding, and uneven bites. They can be used for both children and adults and are available in different types based on comfort and appearance needs.

Dental Braces
Orthodontic Treatment

Why Do You Need an Orthodontic Treatment?

Orthodontic treatment is needed when teeth or jaws are not in the right position and start causing discomfort or daily problems. Many people think braces are only for looks, but misaligned teeth can lead to other issues too.

Crooked teeth, uneven biting, jaw tightness, or regular headaches can be signs that your bite is not working properly. Over time, this can put extra pressure on certain teeth and jaw muscles, leading to tooth wear or pain.

Orthodontic treatment helps move the teeth into better positions. This makes biting more comfortable, reduces stress on the jaws, and helps keep your teeth healthier in the long run.

25k+

Happy Patients
Treated

10k+

Advanced Dental
Procedures Completed

24+

Years Trusted
Dental Experience

5.0

Google Rating Highly
Rated by Our Patients

Types of Dental Braces

Dental braces are available in different types based on comfort, visibility, and treatment needs. After checking your teeth and bite, the right option is suggested for you.

Metal Braces

Metal Braces

Metal Braces

Metal braces are the most commonly used option. They use metal brackets and wires to move teeth into proper alignment and work well for all types of dental issues.

Ceramic Braces

Ceramic Braces

Ceramic Braces

Ceramic braces work in the same way as metal braces but use tooth-coloured brackets. They are less noticeable and a popular choice for people who want effective treatment with a more subtle look.

Lingual Braces

Lingual Braces

Lingual Braces

Lingual braces are placed on the inner side of the teeth, so they are not visible from the front. They are custom-made and suggested in selected cases.

Clear Aligners

Clear Aligners

Clear Aligners

Clear aligners are transparent trays that gently move teeth over time. They are removable and easy to clean, making them a comfortable option for many patients.

Procedure of Getting Dental Braces

Dental braces are placed in a simple and comfortable procedure for most patients. The appointment usually takes some time, but it is painless and done with care.

Step 1: Teeth Cleaning and Preparation

Teeth Cleaning and Preparation

Teeth are cleaned and dried properly before placing the braces. A small device is used to keep the mouth dry and help you stay comfortable during the procedure.

Step 2: Preparing the Tooth Surface

Preparing the Tooth Surface

A special gel is applied to the teeth for a short time. This helps the brackets stick firmly to the tooth surface. The gel is then rinsed off.

Step 3: Fixing the Brackets

Fixing the Brackets

Brackets are placed on each tooth using dental adhesive. A special light is used to harden the adhesive and secure the brackets.

Step 4: Placing the Wire

Placing the Wire

A wire is passed through the brackets and held in place using small bands. In some braces, additional bands are not needed.

Step 5: Final Check and Guidance

Final Check and Guidance

The braces are checked for comfort and fit. Basic care instructions are shared so you know what to expect after the appointment.

Benefits of Dental Braces

Benefits of Dental Braces

Dental braces help correct tooth alignment and improve overall oral health. They not only enhance your smile but also make everyday dental care easier.

Benefits of Dental Braces:

  • Straighten crooked or crowded teeth
  • Improve bite and chewing function
  • Make brushing and flossing easier
  • Reduce uneven tooth wear
  • Improve smile appearance
  • Support long-term oral health

Why Choose Us for Orthodontic Treatment?

Orthodontic treatment needs careful planning and regular follow-ups to get the best results. At Smile Invent Dental Clinic, Dr. Boskey Panikar and Dr. Arjun Panikar focus on correcting teeth alignment in a comfortable and well-planned way.

Each patient’s teeth and bite are examined in detail before starting treatment. The type of braces, treatment duration, and teeth braces cost are explained clearly, so you know what to expect. Modern tools and updated techniques are used to guide teeth into the right position safely.

From the first visit to the final result, the treatment is planned to be smooth, supportive, and effective, helping you achieve a well-aligned and confident smile.

Orthodontic Treatment

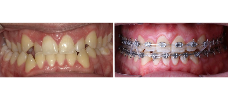
Before And After

Teeth Cleaning
Teeth Cleaning
Teeth Cleaning
Teeth Cleaning

Your Healthier Smile Starts Here

Expert dental care. Trusted by thousands of patients.

+91 97690 52288
Dental Doctors

Testimonials

I started my braces treatment at Smile Invent Dental Clinic and the experience has been very good. Dr. Arjun Panikar explained the entire process clearly and guided me through every step. The clinic is clean and well equipped. I’m happy with the progress of my smile.

Rushi Mehta

R

I visited Smile Invent Dental Clinic for braces to correct my teeth alignment. Dr. Arjun Panikar handled the treatment very professionally and answered all my questions patiently. The team is supportive and the appointments are well managed. I’m satisfied with the treatment so far.

Ravi Shah

R

My braces treatment at Smile Invent Dental Clinic has been a smooth experience. The doctors are very patient and make sure I understand each stage of the treatment. The clinic environment is comfortable and hygienic. I’m already noticing improvement in my teeth alignment.

Neha Parmar

N

I chose Smile Invent Dental Clinic for my braces treatment and it was the right decision. Dr. Arjun Panikar explained the treatment plan clearly and ensured everything was comfortable. The staff is friendly and professional. I’m very happy with the care I received.

Amit Marathe

A

FAQ’s

  1. Braces placement is usually not painful. You may feel some pressure or mild soreness for a few days after getting braces or after adjustments, but it settles as your mouth gets used to them.

  2. Braces can be done at almost any age. Many children start between 10 and 14 years, but adults can also get braces with good results.

  3. The cost of dental braces depends on the type of braces, treatment time, and case complexity. During consultation, the braces cost is explained clearly based on your needs.

  4. Ceramic braces and clear aligners are popular choices for adults because they are less noticeable. The best option depends on your teeth alignment and comfort preference.

  5. Most people wear braces for 12 to 24 months. The exact time depends on how much correction is needed and how well follow-up visits are maintained.

Latest Dental News & Patient Guides

Stay Informed About Your Oral Health

Expert tips, treatment guides, and answers from our dental team

 Digital Dentistry

Is Caffeine Bad for Your Teeth? A Dentist’s Guide...

If your day doesn’t start without tea or coffee, you’re not...

Read More
 Digital Dentistry

World Oral Health Day 2026- Why Oral Health Matter...

Oral health is something most of us think about only when th...

Read More
 Digital Dentistry

Cavities in Kids: Causes, Prevention & Treatment

Cavities in kids are more common than most parents realize....

Read More
 Digital Dentistry

What Are Dental Implants? Complete Guide for Patie...

Missing teeth can make simple things like eating, speaking,...

Read More
COMFORTABLE CARE • EXPERIENCED DENTISTS • TRUSTED BY PATIENTS

Your Healthy Smile Is Just One
Appointment Away

Our experienced dental team provides gentle, personalized care using modern techniques – so you can feel confident, comfortable, and well-informed at every visit.

Root Canal Doctor