Scaling and Root Planing in
Bandra East, Mumbai

Gentle Deep Cleaning for Healthier Gums

If you’re dealing with bleeding gums, bad breath, or early signs of gum disease, scaling and root planing can help restore your gum health. This deep cleaning treatment removes plaque and tartar from below the gum line and helps prevent further damage. At Smile Invent Dental Clinic, scaling and root planing is done carefully and comfortably by experienced dentists, so your gums can heal properly and you can get back to your daily routine without discomfort.

Scaling and Root Planing in Bandra East, Mumbai
Dentist for Scaling and Root Planing in
                                    Bandra Eas

Dentist for Scaling and Root Planing in Bandra East

Scaling and root planing is done below the gums, so it needs careful handling. The dentist gently cleans the teeth and roots to remove dirt and infection without harming the gums.

People usually visit a dentist for gum disease when their gums bleed, feel swollen, or hurt while eating. In these cases, deep cleaning treatment helps remove bacteria and allows the gums to heal slowly and naturally. The dentist first checks the gums and then decides how deep the cleaning should be.

If your gums bleed at dentist visits or feel painful often, this type of dentist deep cleaning can help improve gum health and prevent further problems.

What is Deep Cleaning?

Deep cleaning is a dental treatment done when gums are not healthy and normal cleaning is not enough. It focuses on cleaning below the gum line, where food particles and bacteria collect over time and cause infection.

This treatment is also called scaling and root planing. The dentist removes hard buildup from the teeth and smooths the roots so the gums can slowly heal and reattach. It is often advised when gums bleed easily, feel sore, or stay swollen for many days.

Deep cleaning helps control gum disease, reduces bad breath, and makes it easier to keep the mouth clean at home. It is usually done in stages, depending on how serious the gum problem is.

What is Deep Cleaning?
Why Scaling and Root Planing is Needed?

Why Scaling and Root Planing is Needed?

Scaling and root planing is needed when gum problems go deeper than what regular cleaning can fix. When plaque and hard deposits stay under the gums for a long time, they cause swelling, bleeding, and pain.

Many people notice their gums bleed while brushing or feel tender while eating. Some also deal with bad breath that does not go away. These are signs that bacteria have settled below the gum line, and simple cleaning will not be enough.

This deep cleaning treatment removes the source of infection and helps stop gum disease from getting worse. It also protects the bone that holds the teeth in place and supports long-term gum health.

BOOK MY FREE CONSULTATION

25k+

Happy Patients
Treated

10k+

Advanced Dental
Procedures Completed

24+

Years Trusted
Dental Experience

5.0

Google Rating Highly
Rated by Our Patients

Types of Scaling and Root Planing

Scaling and root planing is usually a non-surgical deep cleaning done to treat gum problems. The type of treatment depends on how serious the gum condition is, and your dentist will decide what is needed after checking your gums and X-rays.

Scaling and Root Planing (Deep Cleaning)

Scaling and Root Planing (Deep Cleaning)

Scaling and Root Planing (Deep Cleaning)

This is the most common treatment. The dentist removes plaque, tartar, and bacteria from above and below the gum line using special cleaning tools. The roots of the teeth are smoothed so germs don’t stick easily. This helps reduce gum swelling, bleeding, and discomfort.

Surgical Gum Treatment (Only if Needed)

Surgical Gum Treatment (Only if Needed)

Surgical Gum Treatment (Only if Needed)

If the gum problem is severe and deep cleaning is not enough, your dentist may suggest surgical gum treatment. In this case, the gums are gently lifted to clean deeper areas. This is done only in advanced cases and only when your dentist feels it is necessary.

Your dentist will explain the condition clearly and guide you on the right treatment based on your gum health and comfort.

Scaling and Root Planing Procedure – Step by Step

Step 1: Gum Check

Gum Check

The dentist checks your gums and teeth to see where the problem is and how deep the cleaning needs to go.

Step 2: Scaling

Scaling

Dirt and hard buildup are carefully removed from the teeth and from under the gums. This is done in areas that brushing cannot reach.

Step 3: Root Planing

Root Planing

The tooth roots are smoothed so the gums can sit back properly around the teeth. This also helps stop bacteria from sticking again.

Step 4: After the Cleaning

After the Cleaning

The gums may feel a little sore at first, but they heal with time. The dentist explains simple steps to keep the gums healthy after the treatment.

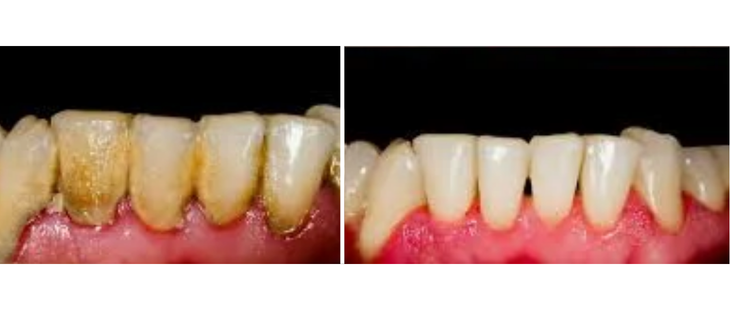
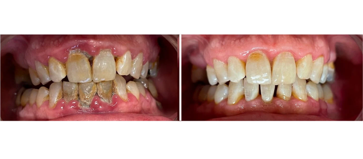
Before And After

Scaling and Root Planing Before and After
Scaling and Root Planing Before and After
Scaling and Root Planing Before and After
Scaling and Root Planing Before and After

Your Healthier Smile Starts Here

Expert dental care. Trusted by thousands of patients.

+91 97690 52288
Dental Doctors
why-choose-smile-invent-dental-clinic-for- root-planing-in -bandra

Why Choose Smile Invent Dental Clinic for Root Planing in Bandra?

At Smile Invent Dental Clinic, we focus on treating gum problems with care and patience. Root planing is done gently, keeping comfort in mind, especially for patients who feel nervous about dental treatment.

We take time to properly check your gums before starting and explain the procedure in simple, clear words. The treatment is planned based on your gum condition, not done in a hurry or treated as the same for everyone.

We follow strict hygiene standards during every procedure. Our aim is not only to clean the gums but also to help them heal properly and stay healthy over time. After the treatment, we guide you with easy after-care steps so recovery feels smooth and stress-free.

If you are looking for careful and honest gum treatment in Bandra, we make sure the entire root planing process feels comfortable and reassuring.

Testimonials

I visited Smile Invent Dental Clinic in Bandra East for teeth scaling and had a wonderful experience. Dr. Boskey Panikar performed the procedure very gently and made it completely painless. Both Dr. Arjun Panikar and Dr. Boskey Panikar were warm and reassuring throughout the visit. I highly recommend them for professional and comfortable dental care.

Rujuta Pai

R

I visited Smile Invent Dental Clinic for scaling and root planing and had a very good experience. Dr. Boskey Panikar explained the procedure clearly and handled it very gently. The treatment was smooth and comfortable throughout. I’m happy with the results and improved gum health.

DM

D

I visited Smile Invent Dental Clinic for gum treatment and underwent scaling and root planing. Dr. Boskey Panikar handled the procedure very carefully and explained everything in detail. The treatment was comfortable and effective. I’m very happy with the experience.

Soni

S

I had scaling and root planing done at Smile Invent Dental Clinic for gum issues. The doctors were very professional and made sure the procedure was smooth. The clinic is modern and hygienic. I felt well cared for throughout the treatment.

Amit Doshi

A

FAQs

  1. No, scaling is usually not painful. You may feel some pressure or mild discomfort, especially if your gums are sensitive. Any soreness after the treatment usually goes away in a day or two.

  2. Avoid hard, very hot, or spicy food for a day or two. Do not smoke or chew tobacco. Also, avoid brushing too hard near the gums until they feel better.

  3. Yes, it is safe and commonly done. It helps treat gum problems and stop them from getting worse. Some mild sensitivity is normal and settles as the gums heal.

  4. It is needed when gums bleed often, feel swollen, or when dirt is stuck below the gums. It is advised when normal cleaning cannot fix the problem.

  5. Your gums may feel sore or sensitive for a short time. Light bleeding can happen. With proper care, the gums heal in a few days and start feeling healthier.

Latest Dental News & Patient Guides

Stay Informed About Your Oral Health

Expert tips, treatment guides, and answers from our dental team

 Digital Dentistry

Titanium Dental Implants: Benefits, Procedure & Si...

Missing teeth can make everyday life uncomfortable. Eating b...

Read More
 Digital Dentistry

What is a Dental Crown? Types, Benefits & Procedur...

A damaged or weak tooth can make even simple things like eat...

Read More
 Digital Dentistry

What Are Clear Aligners? A Complete Beginner’s Gui...

Getting a straight smile is something many people want, but...

Read More
 Digital Dentistry

What is Scaling and Root Planing? A Complete Guide...

Healthy gums don’t usually get much attention. Most people f...

Read More
COMFORTABLE CARE • EXPERIENCED DENTISTS • TRUSTED BY PATIENTS

Your Healthy Smile Is Just One
Appointment Away

Our experienced dental team provides gentle, personalized care using modern techniques – so you can feel confident, comfortable, and well-informed at every visit.

Scaling and Root Planing