Full Mouth Rehabilitation in Bandra East, Mumbai

Restore Your Bite, Comfort & Smile with Complete Dental Care

If multiple dental issues like worn, damaged, or missing teeth are affecting your comfort or chewing, full mouth rehabilitation offers a complete solution. This treatment focuses on restoring your entire mouth - teeth, bite, and function in a planned and balanced way.

At Smile Invent Dental Clinic, our experienced dental team provides personalized full mouth dental rehabilitation in Bandra East using modern techniques to improve function, comfort, and long-term oral health.

Full Mouth Rehabilitation
Full Mouth Rehabilitation in Bandra East

Full Mouth Rehabilitation in Bandra East

When you have many dental problems at the same time, treating one tooth alone is not enough. Full mouth rehabilitation in Bandra East is meant for people who have worn, damaged, broken, or missing teeth along with chewing or bite problems.

This treatment looks at your entire mouth together - your teeth, bite, and jaw so everything works properly again. The aim is to help you eat comfortably, reduce pain, and protect your teeth for the long term.

At Smile Invent Dental Clinic, full mouth dental rehabilitation is carefully planned after checking your teeth, bite, and overall oral health. The treatment is explained in simple words, and only what is truly needed is done.

If daily eating or tooth problems are troubling you, full mouth rehabilitation can help restore comfort and confidence.

What is Full Mouth Rehabilitation?

Full mouth rehabilitation is a complete dental treatment done when many teeth are damaged, worn out, or not working properly. Instead of fixing one tooth at a time, the dentist plans treatment for your whole mouth together.

This treatment helps to restore:

  • Proper chewing
  • Comfortable bite
  • Strong and healthy teeth
  • A natural-looking smile

Depending on your dental condition, full mouth dental rehabilitation may include treatments like fillings, crowns, bridges, gum treatment, bite correction, or dental implants if needed. Not every patient needs the same procedures.

The main goal of full mouth rehabilitation is to make sure your teeth and jaw work well together so you can eat, speak, and smile comfortably again.

What is Full Mouth Rehabilitation?
Full Mouth Rehabilitation

Why Do You Need Full Mouth Rehabilitation?

You may need full mouth rehabilitation if many dental problems are affecting your daily life. When teeth are damaged for a long time, the bite becomes uneven and the jaw has to work harder, which can cause pain and discomfort.

Full mouth rehabilitation is needed when:

  • Teeth are badly worn, broken, or cracked
  • Multiple teeth are missing or weak
  • Chewing food is difficult or painful
  • Jaw pain or frequent headaches occur
  • Teeth grinding has damaged the bite
  • Old dental work keeps failing

If these problems are not treated properly, they can get worse over time. Full mouth rehabilitation fixes the root cause instead of giving temporary relief. It helps restore comfort, improves chewing, and protects your teeth and jaw for the future.

Procedure of Full Mouth Rehabilitation

Full mouth rehabilitation is done in a planned and step-by-step manner. The exact treatment depends on your dental condition, but the process usually follows these stages:

Step 1: Detailed Dental Check-up

Detailed Dental Check-up

The dentist examines your teeth, gums, and bite. X-rays or scans may be taken to understand the condition of your teeth and jaw.

Step 2: Treatment Planning

Treatment Planning

Based on the findings, a personalized treatment plan is prepared. The dentist explains what treatments are needed, how long it may take, and answers your questions.

Step 3: Treating Existing Problems

Treating Existing Problems

Any infections, gum issues, or damaged teeth are treated first. This helps create a healthy base for further treatment.

Step 4: Restoring Teeth and Bite

Restoring Teeth and Bite

Crowns, bridges, fillings, bite correction, or dental implants (if required) are done to restore proper function and comfort.

Step 5: Final Adjustments and Follow-up

Final Adjustments and Follow-up

The bite is checked and adjusted so chewing feels natural. Follow-up visits ensure everything heals and works properly.

Benefits of Full Mouth Rehabilitation

Benefits of Full Mouth Rehabilitation

Full mouth rehabilitation helps improve both dental health and daily comfort. The main benefits include:

Benefits of Full Mouth Rehabilitation:

  • Restores comfortable chewing and eating
  • Corrects bite problems and jaw strain
  • Reduces tooth pain and sensitivity
  • Strengthens weak or damaged teeth
  • Improves speech and smile appearance
  • Prevents further dental damage
  • Improves overall oral health and confidence

25k+

Happy Patients
Treated

10k+

Advanced Dental
Procedures Completed

24+

Years Trusted
Dental Experience

5.0

Google Rating Highly
Rated by Our Patients

Why Choose Us for Full Mouth Rehabilitation?

Full mouth rehabilitation requires experience, careful planning, and a clear understanding of how your teeth and bite work together. At Smile Invent Dental Clinic, we - Dr. Boskey Panikar and Dr. Arjun Panikar, personally handles full mouth rehabilitation cases.

We take time to examine your teeth, jaw, and bite thoroughly before starting treatment. Every step is explained in simple words, so you feel confident and informed throughout the process.

Using modern dental techniques and high-quality materials, we focus on restoring comfort, function, and long-term stability, not just appearance. From your first consultation to follow-up visits, your care is guided with attention, safety, and honesty

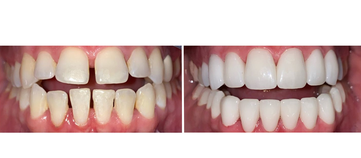
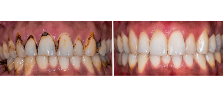
Full Mouth Rehabilitation

Before And After

Full Mouth Rehabilitation
Full Mouth Rehabilitation
Full Mouth Rehabilitation
Full Mouth Rehabilitation

Your Healthier Smile Starts Here

Expert dental care. Trusted by thousands of patients.

+91 97690 52288
Full Mouth Rehabilitation Doctor

Testimonials

I underwent full mouth rehabilitation at Smile Invent Dental Clinic and the experience was excellent. Dr. Arjun Panikar carefully evaluated my case and explained the entire treatment plan. The process was smooth and handled very professionally. My smile and bite feel completely restored now.

Manish More

M

I visited Smile Invent Dental Clinic for full mouth rehabilitation and I’m very satisfied with the results. Dr. Arjun Panikar and Dr. Boskey Panikar guided me through every step of the treatment. The clinic is modern and the team is very supportive. My overall dental health has improved a lot.

Ritu Mehta

R

My full mouth rehabilitation treatment at Smile Invent Dental Clinic was handled with great care. The doctors explained the procedures clearly and ensured I was comfortable throughout. The treatment was well planned and the results look very natural. I highly recommend the clinic.

Kunal Kharat

K

I had a wonderful experience with my full mouth rehabilitation treatment at Smile Invent Dental Clinic. Dr. Arjun Panikar created a detailed treatment plan that restored my teeth and smile. The clinic is clean and well equipped. I’m very happy with the final outcome.

Pooja Batra

P

FAQ’s

  1. It involves treating all teeth together to restore proper bite, function, and comfort using suitable dental procedures.

  2. It usually takes a few weeks to a few months, depending on the dental condition and treatment plan.

  3. Recovery is generally smooth, with mild discomfort that settles quickly.

  4. No, it is done under anesthesia, so pain is minimal and manageable.

  5. Risks are low and may include temporary sensitivity or discomfort if aftercare is not followed.

Latest Dental News & Patient Guides

Stay Informed About Your Oral Health

Expert tips, treatment guides, and answers from our dental team

 Digital Dentistry

Titanium Dental Implants: Benefits, Procedure & Si...

Missing teeth can make everyday life uncomfortable. Eating b...

Read More
 Digital Dentistry

What is a Dental Crown? Types, Benefits & Procedur...

A damaged or weak tooth can make even simple things like eat...

Read More
 Digital Dentistry

What Are Clear Aligners? A Complete Beginner’s Gui...

Getting a straight smile is something many people want, but...

Read More
 Digital Dentistry

What is Scaling and Root Planing? A Complete Guide...

Healthy gums don’t usually get much attention. Most people f...

Read More
COMFORTABLE CARE • EXPERIENCED DENTISTS • TRUSTED BY PATIENTS

Your Healthy Smile Is Just One
Appointment Away

Our experienced dental team provides gentle, personalized care using modern techniques – so you can feel confident, comfortable, and well-informed at every visit.

Full Mouth Rehabilitation Doctor