Dental Bonding in Bandra East, Mumbai

Quick Dental Bonding for Small Gaps and Tooth Repair

Chipped teeth, small gaps, or uneven edges can be corrected with dental bonding. This treatment uses tooth-coloured material to improve the shape and look of teeth. At Smile Invent Dental Clinic, we provide safe and effective dental bonding in Bandra East with natural-looking results.

The bonding process is simple, painless, and usually done in one visit. If you’re looking for dental bonding near you or want to know the dental bonding cost, book your appointment today by calling now or scheduling online.

Dental Bonding
Dental Bonding

Best Dentist for Teeth Bonding in Bandra

Teeth bonding needs precision so the results look natural and last well. When done correctly, bonding blends smoothly with your natural teeth and improves the overall look of your smile.

People searching for the best dentist for teeth bonding in Bandra often visit Smile Invent Dental Clinic for cosmetic bonding treatments focused on clean and natural results. Each tooth is carefully examined before the bonding treatment, and the procedure is explained in simple words. The goal is to improve tooth shape, close small gaps, and fix minor chips without making the teeth look artificial.

Improve your smile with teeth bonding – call us now.

What is Dental Bonding?

Dental bonding is a cosmetic treatment used to improve the shape and appearance of teeth. Teeth bonding involves applying a tooth-coloured resin material to the tooth and shaping it to fix small gaps, chips, cracks, or uneven edges.

This treatment works especially well for front teeth gap bonding since the material closely matches the natural colour of your teeth and blends in easily. Once applied, the resin is hardened using a special light so the tooth looks natural and works normally. Dental bonding is usually completed in a single visit.

Dental Bonding

Types of Dental Bonding Treatment We Offer

Dental bonding is a flexible treatment that helps improve different smile concerns without complex procedures. After checking your teeth and understanding your goals, the right bonding option is suggested to keep the results natural and balanced.

Dental Bonding

Composite Teeth Bonding

Composite Teeth Bonding

This is the most commonly used bonding treatment. A tooth-coloured composite resin is applied to fix small chips, cracks, or uneven edges. The material is shaped carefully to match the natural tooth, making it a good option for visible teeth and minor cosmetic corrections.

Dental Bonding

Teeth Bonding for Gaps

Teeth Bonding for Gaps

Bonding is often used to close small gaps between teeth, especially in the front. It helps improve smile symmetry and can be completed quickly, without the need for braces or long-term treatments.

Dental Bonding

Cosmetic Dental Bonding

Cosmetic Dental Bonding

This type of bonding focuses on improving overall tooth appearance. It is used for teeth with stains, slight shape concerns, or surface marks. The bonding material is matched closely to your natural tooth colour for a smooth and clean finish.

Dental Bonding

Dental Bonding for Crowded Teeth

Dental Bonding for Crowded Teeth

In mild cases of crowding, bonding helps reshape teeth to create a more even look. It improves alignment visually without moving the teeth, making it a simple cosmetic option.

Procedure for Getting Composite Dental Bonding

Composite dental bonding is a simple treatment used to improve how your teeth look. It is usually completed in one visit and does not take much time.

Step 1: Tooth Check and Shade Selection

Tooth Check and Shade Selection

We first check the teeth that need bonding. Your teeth are cleaned, and a matching shade is chosen so the bonding material looks natural on your teeth.

Step 2: Preparing the Tooth

Preparing the Tooth

The surface of the tooth is gently prepared using a special liquid. This helps the bonding material stick properly. This step is quick and does not remove much of the tooth.

Step 3: Applying the Bonding Material

Applying the Bonding Material

The tooth-coloured material is placed on the tooth and shaped to fix gaps, chips, or uneven areas. A special light is used to harden the material. The tooth is then polished so it feels smooth and looks natural.

Why Do You Need Dental Bonding?

Dental bonding is often chosen when small tooth concerns affect the look of your smile but do not need major treatment. Cosmetic dental bonding is a simple option for improving tooth shape and overall appearance.

This treatment may be needed to fix chipped or cracked teeth, close small gaps, or smooth uneven edges. It is also useful for improving the look of stained teeth that do not respond well to whitening. In some cases, bonding helps make slightly crowded or uneven teeth look more balanced.

Dental bonding is a good choice for people looking for quick smile improvement without drilling, surgery, or long treatment time.

Dental Bonding Benefits

25k+

Happy Patients
Treated

10k+

Advanced Dental
Procedures Completed

24+

Years Trusted
Dental Experience

5.0

Google Rating Highly
Rated by Our Patients

Dental Bonding Benefits

Benefits of Dental Bonding

Dental bonding is a simple cosmetic treatment that improves your smile without complex dental work. It is a practical choice for small tooth corrections.

Benefits of Dental Bonding:

  • Affordable option compared to other cosmetic treatments
  • Requires very little tooth surface preparation
  • Completed quickly, often in one visit
  • Comfortable procedure with minimal drilling
  • Easy to maintain with regular oral care
  • Helps improve tooth appearance naturally

Why Choose Us for Composite Teeth Bonding?

Composite teeth bonding gives the best results when done with care and proper planning. At Smile Invent Dental Clinic, Dr. Boskey Panikar and Dr. Arjun Panikar focus on creating natural-looking bonding results that blend smoothly with your existing teeth.

Each tooth is examined carefully before starting the treatment. The bonding process is explained in simple words, and the right shade is chosen to match your natural tooth colour. Modern tools and quality materials are used to shape and polish the bonded tooth so it feels smooth and comfortable.

From the first visit to the final finish, the treatment is planned to be quick, comfortable, and effective, helping you walk out with a confident smile.

Dental Bonding

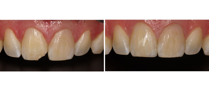
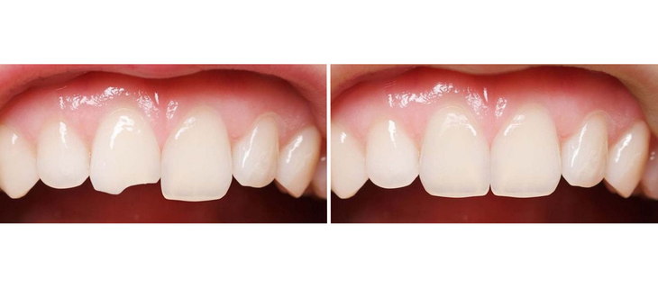
Before And After

Teeth Cleaning
Teeth Cleaning
Teeth Cleaning
Teeth Cleaning

Your Healthier Smile Starts Here

Expert dental care. Trusted by thousands of patients.

+91 97690 52288
Dental Doctors

Testimonials

I visited Smile Invent Dental Clinic for dental bonding to fix a small chipped tooth. Dr. Arjun Panikar explained the procedure clearly and completed the treatment very smoothly. The result looks completely natural and blends perfectly with my teeth. I’m very happy with the outcome.

Prem Shah

P

I had dental bonding done at Smile Invent Dental Clinic and the experience was excellent. Dr. Boskey Panikar handled the treatment very gently and ensured I was comfortable throughout. The clinic is clean and modern. My smile looks much better now.

Sneha Mule

S

My experience with dental bonding at Smile Invent Dental Clinic was very positive. The doctors explained every step of the treatment and made sure everything was done carefully. The procedure was quick and painless. I’m very satisfied with the results.

Kailas Dev

K

I got dental bonding done to improve the shape of my front teeth. Dr. Arjun Panikar did a fantastic job and the results look very natural. The team was friendly and professional during the entire visit. Highly recommend the clinic for cosmetic dental treatments.

Riya Potdar

R

FAQ’s

  1. Dental bonding usually lasts between 3 to 7 years. With good oral care and regular dental check-ups, it can last even longer.

  2. Yes, dental bonding can close small gaps between teeth, especially in the front. It is a quick option for improving smile appearance.

  3. Avoid biting hard foods, chewing ice, or opening packets with your teeth. It’s also best to limit coffee, tea, and smoking to prevent staining.

  4. Mild gum discomfort can happen if the gums were slightly irritated during the procedure. This usually settles within a day or two.

  5. Some sensitivity to hot or cold may occur for a short time. It usually goes away within a few days.

Latest Dental News & Patient Guides

Stay Informed About Your Oral Health

Expert tips, treatment guides, and answers from our dental team

 Digital Dentistry

Titanium Dental Implants: Benefits, Procedure & Si...

Missing teeth can make everyday life uncomfortable. Eating b...

Read More
 Digital Dentistry

What is a Dental Crown? Types, Benefits & Procedur...

A damaged or weak tooth can make even simple things like eat...

Read More
 Digital Dentistry

What Are Clear Aligners? A Complete Beginner’s Gui...

Getting a straight smile is something many people want, but...

Read More
 Digital Dentistry

What is Scaling and Root Planing? A Complete Guide...

Healthy gums don’t usually get much attention. Most people f...

Read More
COMFORTABLE CARE • EXPERIENCED DENTISTS • TRUSTED BY PATIENTS

Your Healthy Smile Is Just One
Appointment Away

Our experienced dental team provides gentle, personalized care using modern techniques – so you can feel confident, comfortable, and well-informed at every visit.

Root Canal Doctor