Digital Dentistry

Precision. Comfort. Modern Care.

At Smile Invent Dental Clinic, we embrace the future of dental care through advanced Digital Dentistry. Our clinic is equipped with cutting-edge technology that ensures greater accuracy, faster treatments, and a more comfortable experience for our patients.

What is Digital Dentistry?

Digital Dentistry involves the use of digital technology in dental procedures — from diagnosis to treatment planning and execution. It enhances precision, reduces manual errors, and ensures high-quality, long-lasting results.

Technologies We Use:

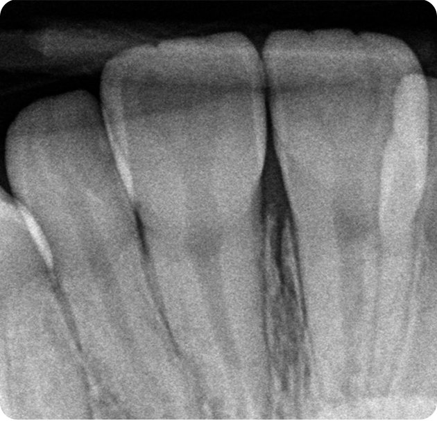
  • Digital X-Rays: Get faster, safer, and clearer images with minimal radiation exposure.
  • Intraoral Scanners: Say goodbye to uncomfortable impressions. We use 3D scanners to create accurate digital models of your teeth.
  • CAD/CAM Technology: Enables same-day crowns and restorations with unmatched precision and fit.
  • CBCT (Cone Beam CT): 3D imaging for detailed diagnosis in implants, root canals, and oral surgeries.
  • Digital Smile Design (DSD): Preview your new smile before treatment even begins!

Digital X-Rays

See More. Diagnose Better. Treat Smarter

Discover how our Digital X-ray technology gives your smile the advantage of clarity, safety, and speed.

Book An Appointment

How It Helps You

At Smile Invent, we use Digital X-rays not just for images — but for insights. Whether it’s early decay, bone structure, or alignment issues, digital X-rays help us detect problems before they become painful or expensive.

  • Early detection of cavities & gum disease
  • Planning implants & root canals
  • Tracking bone loss or orthodontic progress
  • Painless and fast process

X-rays That Move With You

Your digital X-rays are securely stored and can be instantly shared with specialists, insurance providers, or referred dentists — no extra appointments or paperwork needed.

  • Fast Results
  • Ultra-Low Radiation
  • Precise Diagnosis
  • Safe for All Ages
  • Environmentally Conscious

Digital scanning

Say Goodbye to Messy Impressions

Experience faster, cleaner, and more accurate dental impressions with our advanced digital scanning technology.

Book An Appointment

Precision in Every Pixel

  • Intraoral Scanning
    We use a small handheld scanner to capture high-res images of your teeth and gums.
  • 3D Model Creation
    The scanner instantly builds a digital 3D model of your oral structure.
  • Treatment Integration
    The model is used to design crowns, aligners, implants, or restorations using CAD/CAM systems.

Why It’s Better

What Can Digital Scanning Do?

Use as interactive tabs or blocks:

Digital Mock-up

With Digital Mock-Ups, you can see the future of your smile — in full 3D — before any procedure takes place.

Book An Appointment

What Is a Digital Mock-Up?

Visualize First. Treat Next.

Digital mock-ups use advanced imaging and design software to create a virtual simulation of your post-treatment smile. Whether it's veneers, aligners, or implants, you'll get to see your results before committing.

How It Works

  • Scan & Capture:
    We begin with digital scans of your teeth and facial photos to capture every detail.

  • Design & Plan:
    Using smile design software, we customize your ideal smile based on your facial symmetry and personal preferences.

  • Virtual Smile Preview:
    See your transformed smile digitally — from multiple angles, even in motion.

  • 3D Printed Trial (Optional):
    Test-drive your new look with a temporary restoration created from the mock-up.

Used In All Kinds of Transformations

Why Patients Love It

Use as interactive tabs or blocks:

Digital Virtual Set Up

Plan With Precision, Visualize With Confidence

Digital Virtual Setups let us simulate your complete dental treatment in 3D — before we ever begin.

Book An Appointment

What Is a Digital Virtual Setup?

Smart Dentistry Begins With Smart Planning

A Digital Virtual Setup is a 3D simulation of your mouth created from advanced scans and imaging. It allows dentists and orthodontists to design, test, and fine-tune your treatment plan digitally — from clear aligners and implants to full smile makeovers — for more predictable, precise results.

How It Works

From Scan to Simulation: Your Treatment, Digitally Perfected

  • 3D Data Capture:
    Intraoral scanners capture a detailed 3D image of your teeth and gums. CBCT and X-rays help analyze bone structure.
  • Digital Modeling:
    Advanced software recreates a full 3D model of your mouth and facial features.
  • Treatment Simulation:
    We simulate tooth alignment, restorations, or implant positioning with digital precision — exploring multiple options if needed.
  • Real-Time Visualization:
    You’ll preview your smile and treatment outcomes from various angles, improving communication and trust.
  • Guided Implementation:
    Based on the virtual plan, we produce retainers, aligners, crowns, or surgical guides using digital tools like 3D printers or CAD/CAM milling.

Where It’s Used

Why Digital Virtual Set-Up Makes All the Difference

Ready to Preview Your New Smile?

Book your consultation today and discover how digital planning can elevate your dental experience — before we even touch a tooth

Book An Appointment

Digital Surgical Stent

Precision-Guided Surgery with Advanced Digital Tools

A digital surgical stent is a custom-made guide designed using advanced CAD/CAM technology to assist in surgical and dental procedures. It enables highly accurate, minimally invasive treatment, ensuring optimal results with enhanced safety, especially in complex procedures like dental implants.

Key Features

From Scan to Simulation: Your Treatment, Digitally Perfected

  • Custom Design:
    Tailored precisely to the patient’s anatomy using 3D imaging such as CT scans or intraoral digital scans.
  • High Precision:
    Provides exact guidance for implant drills or surgical instruments, minimizing human error.
  • Biocompatible Materials:
    Made from safe, medical-grade materials suitable for intraoral and surgical use.
  • Minimally Invasive Approach:
    Enables smaller, more accurate incisions — reducing trauma and recovery time.

Applications

Benefits at a Glance

Want to Know If a Surgical Stent is Right for You?

Book a consultation with our expert team and experience how digital precision can transform your surgical journey.

Book An Appointment

Why Digital Imaging?

Key Benefits of Dental Imaging

Want to Know If a Surgical Stent is Right for You?

Book a consultation with our expert team and experience how digital precision can transform your surgical journey.

Book An Appointment

FAQ’s

  1. Digital dentistry uses advanced technology like digital X-rays, 3D scanners, and CAD/CAM systems to plan and perform dental treatments. Compared to traditional methods, it offers greater accuracy, quicker procedures, better diagnostics, and a more comfortable experience.

  2. Yes! Digital X-rays use up to 90% less radiation than traditional film X-rays. They are fast, safe for all ages, and provide high-resolution images for accurate diagnosis.

  3. No more gooey molds! Our intraoral digital scanners capture detailed 3D images of your teeth and gums — making the process fast, clean, and highly accurate.

  4. Digital Smile Design lets you preview your new smile on-screen before treatment begins. Using 3D scans and facial analysis, we simulate results so you know exactly what to expect.

  5. Yes! With CAD/CAM technology, we can design, mill, and fit high-precision crowns or restorations — often in a single visit.

  6. A Digital Virtual Setup is a 3D simulation of your mouth used to plan treatments like braces, aligners, implants, or smile makeovers. It ensures accurate, efficient, and predictable outcomes.

  7. It allows you to visualize your post-treatment smile even before starting. You get to be part of the planning process and make informed choices with confidence.

  8. It’s a custom 3D guide used in procedures like implant surgery. It ensures high precision and safety, reduces recovery time, and improves overall treatment success.

  9. Absolutely. All our digital tools — including X-rays and scanning — are safe, quick, and non-invasive, making them ideal for patients of all ages.

  10. You can easily schedule an appointment via our website or by calling us directly. Our team is happy to walk you through your personalized digital dentistry journey.