Cosmetic Dentistry in
Bandra East, Mumbai

Simple Ways to Improve Your Smile and Feel More Confident

Cosmetic dentistry focuses on how your smile looks and how it makes you feel. Small gaps, stains, uneven teeth, or chipped edges can affect confidence, even if the teeth are healthy. That’s where cosmetic dental treatments help.

For people exploring cosmetic dentistry in Bandra East, the goal is not to change who you are, but to improve what’s already there. Treatments are planned carefully, keeping your face shape, smile, and comfort in mind. Whether you’re searching for a cosmetic dentist in Bandra East or simply want to understand your options, cosmetic dentistry offers safe and effective ways to enhance your smile in a natural-looking way.

Dental Implants
Dental Implants

Local Cosmetic Dentist in Bandra East

At Smile Invent Dental Clinic, cosmetic dental care is handled by experienced doctors who focus on both appearance and oral health.

Dr. Boskey Panikar, a Periodontist & Cosmetic Dentist, works on improving smiles while keeping gums and teeth healthy. Her approach is careful and detail-focused, so cosmetic treatments look natural and feel comfortable.

Dr. Arjun Panikar, a Periodontist & Oral Implantologist, brings strong clinical expertise to cases that need both cosmetic improvement and long-term dental stability.

When the doctors are available at the same clinic, things become easier. You don’t have to run around for follow-ups or clarifications. Patients in Bandra East appreciate this ease and familiarity during cosmetic dental treatment.

What is Cosmetic Dentistry?

Cosmetic dentistry is about improving how your teeth look and how your smile feels to you. It focuses on fixing things like stains, gaps, uneven teeth, or chipped edges that can make people feel conscious while smiling or talking.

These treatments do not change your face or smile in an artificial way. The idea is to keep your teeth looking natural, just cleaner, brighter, and more balanced. Many people choose cosmetic dentistry because they want a smile that feels more confident in daily life.

Cosmetic dentistry is not only for big changes. Even small improvements can make a noticeable difference in how you look and feel when you smile.

Scaling and Root Planing
Teeth Cleaning

Our Cosmetic Dentistry Services

Cosmetic dentistry services focus on improving the look of your smile in a simple and natural way. The aim is to enhance what you already have, not change it completely.

  • Teeth whitening – Helps remove stains and brighten teeth safely

  • Smile correction – Improves the shape or alignment of teeth

  • Gap closing – Reduces small spaces between teeth for a balanced smile

  • Fixing chipped or uneven teeth – Smooths rough edges and restores shape

  • Cosmetic fillings – Tooth-coloured fillings that blend naturally with teeth

25k+

Happy Patients
Treated

10k+

Advanced Dental
Procedures Completed

24+

Years Trusted
Dental Experience

5.0

Google Rating Highly
Rated by Our Patients

What are the Risks of Cosmetic Dentistry?

Cosmetic dentistry is safe for most people, but it’s normal to have a few concerns before starting any treatment. Some effects are temporary and mild, especially in the early days after a procedure. Knowing about possible risks helps you make a better decision and feel more comfortable with the process.

1

Tooth sensitivity

Some people may feel sensitivity to hot or cold after treatments like whitening. This usually goes away on its own after a few days.

2

Mild discomfort

There can be slight soreness or gum irritation after certain procedures. This is temporary and settles as the mouth heals.

3

Gum irritation

If the gums are sensitive, they may feel tender for a short time after treatment, especially if the procedure is done near the gum line.

4

Results depend on care

Cosmetic results can fade over time if proper oral care is not followed. Regular brushing and dental visits help maintain the results.

5

Planning matters

Problems are more likely when treatment is not planned carefully. A proper check before starting helps avoid unnecessary issues.

5

Temporary Swelling

Some treatments may cause slight swelling in the gums or lips for a short period. This is usually mild and improves as the tissues heal properly.

How Cosmetic Dentistry Works – Step by Step

Step 1: Initial Consultation

Initial Consultation

You start by meeting a cosmetic dentist and talking about what you want to improve. They check your teeth and gums to understand your goals and what can be done for your smile. This helps create a plan that fits your needs.

Step 2: Planning the Treatment

Planning the Treatment

Once the issues are understood and goals are clear, the dentist suggests suitable options. These could be whitening, bonding, veneers, or other services. You and your dentist decide together which treatments will work best.

Step 3: Preparing Your Mouth

Preparing Your Mouth

Before any cosmetic work, the dentist makes sure your teeth and gums are healthy. If there are cavities, gum disease, or other problems, these may be treated first. This makes sure the cosmetic results last longer and look better.

Step 4: Performing the Procedures

Performing the Procedures

The actual cosmetic treatments are done next. Simple treatments like teeth whitening might be completed in a single visit. Other options like veneers or bonding may take more time or multiple visits.

Step 5: Follow-Up and Care

Follow-Up and Care

Once the treatment is complete, the dentist gives guidance on how to care for your new smile. This includes tips for brushing, eating, and any follow-up visits that might be needed. Taking care at home helps the results stay beautiful for longer.

Dental Implants

Benefits of Cosmetic Dentistry Treatments

Cosmetic dentistry treatments can make a big difference, even with small changes. The benefits are not just about looks, but also about how you feel every day.

  • Improves the appearance of your smile

  • Boosts confidence while talking, smiling, or meeting people

  • Helps fix stains, gaps, chips, or uneven teeth

  • Makes teeth look cleaner and more balanced

  • Supports better oral care, as people tend to maintain their smile better

Why Choose Us for Cosmetic Dentistry?

At Smile Invent Dental Clinic, cosmetic dentistry is planned with care, honesty, and attention to detail. We understand that every smile is different, so treatments are never rushed or copied from one person to another.

We take time to listen to what you want to improve and explain the options clearly before starting. The focus is always on natural-looking results that suit your face and feel comfortable in daily life.

Cleanliness, safety, and proper planning are followed at every step. Whether it’s a small cosmetic change or a complete smile improvement, the goal is simple — to help you feel confident about your smile without making it look artificial.

Dental Implants

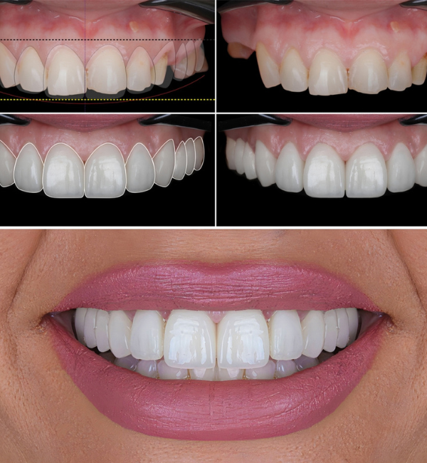
Before And After

Teeth Cleaning
Teeth Cleaning
Teeth Cleaning
Teeth Cleaning

Your Healthier Smile Starts Here

Expert dental care. Trusted by thousands of patients.

+91 97690 52288
Dental Doctors

Teeth Cleaning - Testimonials

I had my teeth cleaning done by Dr. Boskey, and the entire process was smooth and comfortable. She explained everything clearly and guided me on how to maintain proper oral hygiene. I felt well cared for throughout the visit. Highly satisfied with the experience.

Anvi Gupta

A

I visited Dr. Boskey for teeth cleaning and polishing, and it was a wonderful experience. The clinic is spotless and welcoming, and she explained each step while ensuring I was completely comfortable. The procedure was thorough yet painless. I left feeling refreshed and truly impressed.

Josephine Margaret

J

I had a great experience with Dr. Boskey for both dental cleaning and root canal treatment. She is professional, gentle, and takes time to explain everything clearly. The clinic is clean and the staff is very supportive. I felt comfortable and well taken care of throughout.

Jaywant Dabholkar

J

FAQs

  1. Cosmetic dentistry helps improve how your teeth look. It fixes stains, gaps, chips, or uneven teeth to make your smile look better.

  2. It includes many treatments that improve the shape, colour, and overall look of teeth. Changes can be small or more noticeable, based on what you need.

  3. Common treatments include teeth whitening, fixing chipped teeth, closing small gaps, and tooth-coloured fillings.

  4. Some treatments can be done in one visit. Others may need a few visits, depending on the treatment.

  5. Most treatments are not painful. You may feel slight discomfort, but it usually goes away quickly.

  6. Results can last a long time if you take good care of your teeth. Regular brushing and dental visits help maintain them.

  7. Most cosmetic treatments are not covered by insurance. Some may be covered if they are needed for dental health.

Latest Dental News & Patient Guides

Stay Informed About Your Oral Health

Expert tips, treatment guides, and answers from our dental team

 Digital Dentistry

What is Dental Bonding? Procedure, Benefits & Typ...

A small chip in your front tooth, a tiny gap that shows when...

Read More
 Digital Dentistry

Can You Go to the Dentist While Pregnant? Safety,...

Can you go to the dentist while pregnant? Many expecting mot...

Read More
 Digital Dentistry

Is Caffeine Bad for Your Teeth? A Dentist’s Guide...

If your day doesn’t start without tea or coffee, you’re not...

Read More
 Digital Dentistry

World Oral Health Day 2026- Why Oral Health Matter...

Oral health is something most of us think about only when th...

Read More
COMFORTABLE CARE • EXPERIENCED DENTISTS • TRUSTED BY PATIENTS

Your Healthy Smile Is Just One
Appointment Away

Our experienced dental team provides gentle, personalized care using modern techniques – so you can feel confident, comfortable, and well-informed at every visit.

Root Canal Doctor