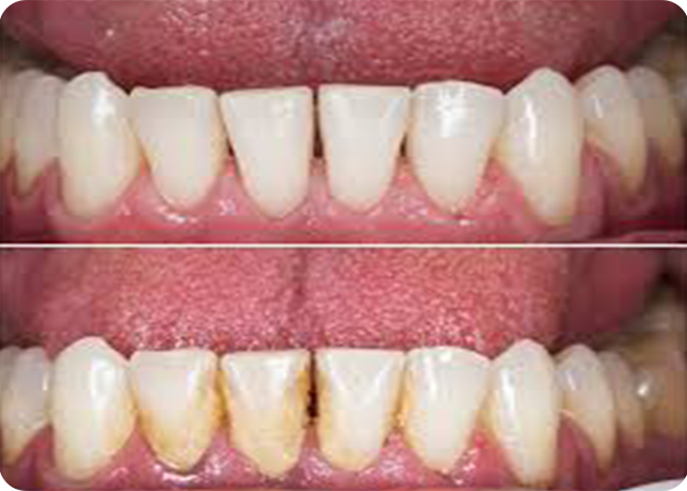
Scaling and Polishing
Your First Step Toward a Healthier Smile
Routine scaling and polishing—commonly known as professional dental cleaning—is a cornerstone of preventive dentistry. This simple yet effective procedure removes harmful plaque, tartar, and stains, helping you maintain a bright smile and healthy gums.
