Restorative Dentistry

Bringing Function & Confidence Back to Your Smile

Restorative dentistry focuses on repairing damaged teeth and restoring their natural function, shape, and strength. Whether it's due to decay, injury, or wear, treatments like dental fillings help preserve your teeth and protect your overall oral health.

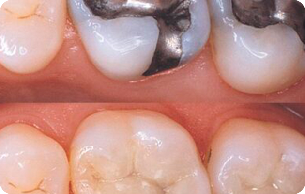
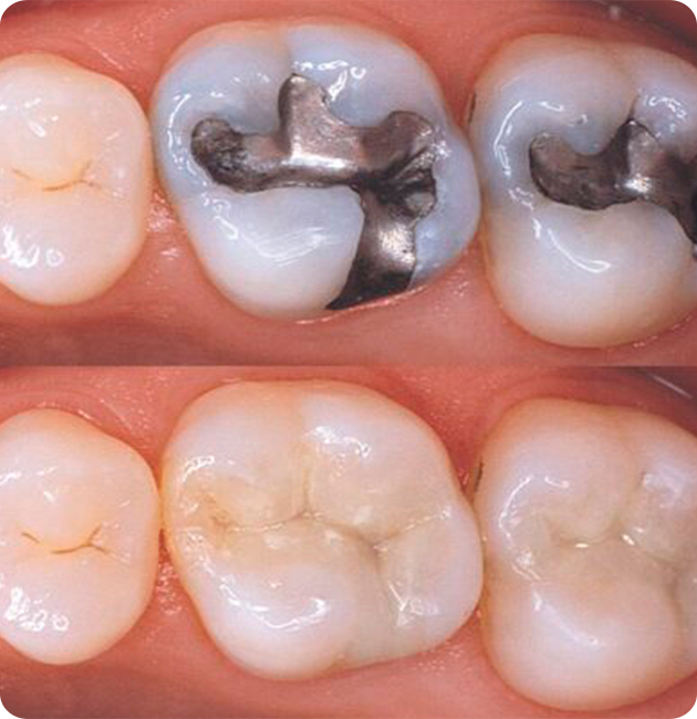
Dental Fillings

Repairing Damage, Restoring Strength

Dental fillings are one of the most common and effective restorative procedures. They’re used to treat cavities, fix chipped or cracked teeth, and prevent further decay

Purpose of Dental Fillings

  • Repair Cavities: Fill areas affected by decay and restore lost structure.
  • Fix Cracks & Chips: Strengthen and seal fractured or worn-down teeth.
  • Prevent Further Damage: Block bacteria from entering weakened areas.
  • Restore Function: Reinstate normal chewing and biting ability.

Types of Dental Fillings

The right filling material depends on the tooth's location, aesthetic preference, and budget:

Composite Resin Fillings

  • Material: Tooth-colored blend of plastic and glass.
  • Pros: Blends naturally with your teeth; ideal for visible areas.
  • Cons: Less durable than metal; may need replacement in 5–10 years.

Glass Ionomer Fillings

  • Material: Acrylic mixed with glass.
  • Pros: Releases fluoride for added protection; ideal for children or gumline cavities.
  • Cons: Less wear-resistant; used in non-chewing surfaces.

Temporary Fillings

  • Purpose: Short-term fix before a permanent treatment or emergency care.
  • Cons: Not long-lasting—typically holds for a few weeks.

The Dental Filling Procedure

Here’s What You Can Expect During Your Visit

  1. Diagnosis: X-rays and a dental exam identify decay or damage.
  2. Anesthesia: Local anesthesia is used to numb the area.
  3. Preparation: The decayed portion is removed and the area is cleaned.
  4. Filling Placement: The chosen material is layered and hardened with a curing light if needed.
  5. Shaping & Polishing: The filling is sculpted to match your bite and polished for a smooth finish.

Protect Your Smile, One Filling at a Time

Dental fillings play a vital role in preserving your teeth and preventing future dental issues. Quick, effective, and minimally invasive—they’re your first step toward a stronger, healthier smile.

Get Recommendation!

Dental Onlays & Inlays

Types of Restorations to Repair Teeth

Dental onlays and inlays are types of restorations used to repair teeth.

Dental Inlay

A dental inlay is a filling made of porcelain, gold, or composite material that is fitted into the grooves of a tooth between the cusps.

Dental Onlay

A dental onlay is a partial covering for a tooth cusp. It's used when a tooth has extensive decay or damage, but not enough to require a full crown.

Consultation

Consult us to determine whether an inlay or onlay is the best option for your specific needs.

Key Differences

Benefits

Restore Your Smile Conservatively

Onlays and inlays provide durable, aesthetic restorations that protect your natural tooth structure. Schedule a consultation to learn more.

Schedule a Visit

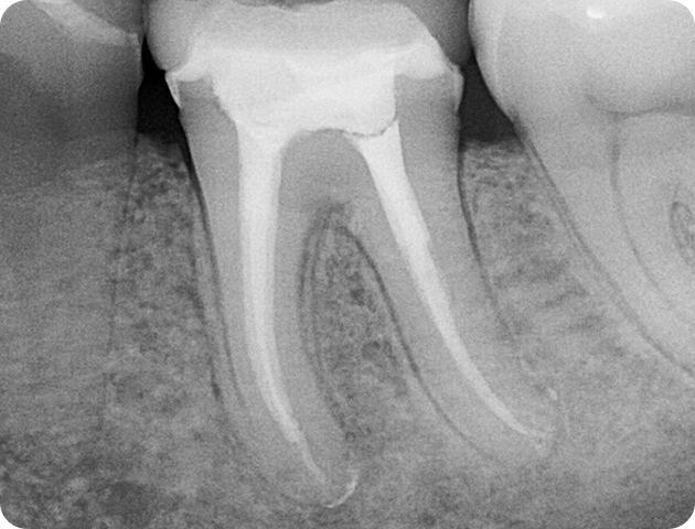
Root Canal treatment

Saving Your Natural Tooth, Relieving Your Pain

A root canal is a common dental procedure used to treat infection or damage inside a tooth's pulp—the soft inner tissue containing nerves and blood vessels. This treatment helps save the natural tooth, alleviates pain, and prevents further complications or tooth loss.

When is a Root Canal Needed?

You may need a root canal if the pulp inside your tooth becomes infected or inflamed Due to:

  • Deep cavities that reach the pulp
  • Cracks or fractures from trauma
  • Repeated dental procedures on the same tooth
  • Advanced gum disease affecting the pulp

Signs You May Need a Root Canal:

  • Persistent toothache, especially while chewing
  • Sensitivity to hot or cold that lingers
  • Swelling or tenderness near the affected tooth
  • Dark discoloration of the tooth
  • Pimple-like bump on the gums (abscess)

Procedure for a Root Canal

  1. Diagnosis: X-rays and clinical examination to confirm pulp damage or infection.
  2. Anesthesia: Local anesthesia is used to numb the area for a pain-free experience.
  3. Access Opening: A small opening is made in the tooth to access the pulp chamber.
  4. Cleaning the Canal: Infected tissue is removed, and the canals are cleaned and disinfected.
  5. Filling the Canal: The space is filled with a rubber-like material (gutta-percha) and sealed.
  6. Restoration: A temporary filling is placed, followed by a permanent filling or crown to restore full function and strength.

Post-Treatment Care

  • Pain Relief: Mild discomfort for a few days is normal and can be managed with prescribed or over-the-counter painkillers.
  • Medications: Antibiotics may be prescribed if there was a significant infection.
  • Follow-Up: A check-up may be scheduled to ensure healing and place the final restoration.

Benefits of Root Canal Therapy

Risks & Considerations

Alternative to Root Canal

If a root canal is not performed, the only alternative is tooth extraction, followed by replacement options like:

  • Dental implants
  • Bridges
  • Partial dentures

A root canal is a safe, effective, and commonly performed procedure that helps maintain your natural smile and oral health for years to come.

Relieve Pain, Save Your Natural Tooth with Root Canal Therapy

Root canal therapy helps eliminate infection and save your natural tooth. Experience lasting relief with gentle, precise care.

Find the Right Fit!

Crowns and Bridges

Restoring Confidence in Every Smile

Dental crowns and bridges are essential restorations used to repair damaged teeth and replace missing ones. These custom-made solutions restore not only your smile’s appearance but also its function—ensuring better chewing, speaking, and long-term oral health.

Dental Crowns

Caps That Strengthen and Protect

A dental crown is a protective cover placed over a damaged or weakened tooth. It restores the tooth’s original shape, strength, and appearance.

When Are Crowns Needed?

  • To protect weak or cracked teeth
  • To restore broken or worn-down teeth
  • To cover a tooth with a large filling
  • To support a dental bridge
  • To cap a dental implant
  • To cover discolored or misshapen teeth
  • After a root canal to reinforce the treated tooth

Types of Crown Materials

  1. 1. Metal Crowns:
    • Material: Gold, platinum, or base metal alloys
    • Pros: Extremely durable and wear-resistant
    • Cons: Metallic appearance; mostly used on back teeth
  2. 2. Porcelain-Fused-to-Metal (PFM) Crowns:
    • Pros: Strong core with a natural-looking exterior
    • Cons: Metal may become visible at the gum line over time
  3. 3. All-Ceramic or All-Porcelain Crowns:
    • Pros: Most natural-looking; ideal for front teeth
    • Cons: Less durable than metal; may chip under pressure
  4. 4. Zirconia Crowns:
    • Pros: Ultra-strong, long-lasting, biocompatible, and aesthetically pleasing
    • Cons: Higher cost
  5. 5. Resin Crowns:
    • Pros: Budget-friendly option
    • Cons: Less durable; prone to wear and fracture

Find the Right Dental Crown for You

Not all crowns are created equal — discover which type best suits your dental needs, lifestyle, and long-term oral health.

Choose Your Crown

Dental Bridges

Bridging the Gaps in Your Smile

A dental bridge replaces one or more missing teeth by anchoring artificial teeth (pontics) to the surrounding natural teeth or implants. It restores your ability to chew and speak properly while improving your smile’s appearance.

Types of Dental Bridges

1. Traditional Bridge:

  • How it works: Uses crowns placed on both sides of the missing tooth to hold the pontic.
  • Best for: Patients with healthy teeth on either side of the gap.
  • 2. Cantilever Bridge:

    • How it works: Attached to only one adjacent tooth.
    • Used when: There’s only one supporting tooth next to the gap.
  • 3. Maryland Bridge:

    • How it works: A winged pontic is bonded to the back of neighboring teeth.
    • Pros: Minimally invasive.
    • Cons: Less durable and can debond under pressure.
  • 4. Implant-Supported Bridge:

    • How it works: Anchored to dental implants instead of natural teeth.
    • Best for: Replacing multiple missing teeth.
    • Pros: Extremely stable and long-lasting.
  • Materials & Procedure

    Steps Involved

    1. Tooth Preparation: Neighboring teeth are reshaped for crowns (if needed).
    2. Impression or Scan: Taken to ensure a perfect custom fit.
    3. Temporary Bridge: Placed to protect the area while the final bridge is being fabricated.
    4. Final Placement: The custom bridge is cemented or bonded securely in place.

    Benefits of Dental Bridges

    • Restores normal chewing and speaking functions
    • Prevents shifting of neighboring teeth
    • Improves smile aesthetics and facial structure
    • Offers long-term protection to adjacent teeth

    Care & Maintenance

    • Brush and floss daily—special floss threaders may be needed for cleaning under the bridge.
    • Use fluoride toothpaste to protect surrounding teeth.
    • Avoid biting hard foods like ice or candies.
    • Visit your dentist regularly to check the bridge and overall oral health.

    Close the Gaps in Your Smile

    Restore your confidence and bite with a custom dental bridge designed just for you.

    Get Recommendation

    Dentures (Complete and Partial)

    Restore Your Smile and Confidence

    Dentures are custom-made removable prosthetics used to replace missing teeth, restore oral function, and enhance appearance. They are ideal for patients who have lost some or all of their natural teeth due to decay, injury, or gum disease.

    Types of Dentures

    1. Complete Dentures:

    Replace all teeth in the upper or lower jaw.

    • Rest on the gums.
    • Held in place by suction or dental adhesive.

    2. Partial Dentures:

    For patients with some remaining natural teeth.

    • Attached using metal clasps or precision attachments.
    • Help prevent shifting of existing teeth.

    3. Implant-Supported Dentures:

    Fixed on dental implants anchored in the jawbone.

    • Provide superior stability and comfort.
    • Great for enhanced chewing ability and confidence.

    4. Immediate Dentures:

    Placed right after tooth extraction as a temporary solution.

    • Allow healing while permanent dentures are being prepared.

    5. Overdentures:

    Fit over remaining natural teeth or implants.

    • Offer better support.
    • Help prevent jawbone deterioration.

    Materials Used in Dentures

    • Acrylic Resin: Lightweight and affordable, common in both full and partial dentures.
    • Cobalt-Chromium Metal: Strong and durable; used in partial dentures.
    • Porcelain: Durable and natural-looking, used in artificial teeth (heavier and more prone to chipping).
    • Flexible Resin: Offers flexibility and comfort for partial dentures.

    Steps in Making Dentures

    1. Consultation & Diagnosis: Oral exam and assessment of denture needs.
    2. Impressions: Molds taken of your gums and oral structures.
    3. Wax Try-In: Trial dentures created to check fit, alignment, and aesthetics.
    4. Fabrication: Final dentures crafted from selected materials.
    5. Fitting & Adjustments: Dentures are fitted and fine-tuned for comfort.

    Care & Maintenance

    • Daily Cleaning: Brush with a soft brush and denture cleanser.
    • Soak Overnight: Store in water or denture solution to prevent drying.
    • Handle Carefully: Avoid dropping to prevent cracks.
    • Regular Checkups: Monitor oral health and ensure proper fit.

    Advantages of Dentures

    Limitations of Dentures

    Dentures are a trusted and affordable solution for replacing missing teeth and rejuvenating your smile. With proper care, they can provide comfort, function, and confidence for many years.

    Smile Fully Again with Comfortable, Natural-Looking Dentures

    Regain your ability to eat, speak, and smile confidently. Our expertly crafted dentures are designed for comfort and a perfect fit.

    Get Recommendation!

    FAQ’s

    1. Restorative dentistry focuses on diagnosing, preventing, and treating oral diseases and restoring damaged or missing teeth. It includes treatments like fillings, crowns, bridges, root canals, and dentures to bring back function, structure, and aesthetics to your smile.

    2. A dental filling is used for small cavities or minor tooth damage, while a crown is recommended for larger restorations when a tooth is severely decayed, cracked, or weakened. Your dentist will assess the extent of damage to determine the most appropriate option.

    3. No, root canals are not painful. Thanks to modern anesthesia and techniques, the procedure is typically no more uncomfortable than getting a filling. In fact, it relieves the pain caused by infection or inflammation inside the tooth.

    4. With proper oral hygiene and regular dental check-ups, crowns and bridges can last 10–15 years or more. Their longevity depends on the materials used and how well you care for your teeth.

    5. Dentures are usually made from acrylic resin, metal, or flexible plastic materials. They are custom-made to fit your mouth comfortably and designed to resemble natural teeth.

    6. Yes, although it may take some time to adjust. Start with soft foods and gradually return to your normal diet. Dentures improve your ability to chew and speak, but avoid overly hard or sticky foods to extend their life.

    7. Whenever possible, saving a natural tooth is the best option for your oral health. Procedures like root canals and crowns can restore functionality. Tooth extraction is considered when the damage is beyond repair.

    8. Maintain a good oral hygiene routine—brush twice daily, floss once a day, and avoid biting hard objects. Regular dental check-ups are essential to monitor your restorations and catch issues early.

    9. Many dental insurance plans cover part of the cost of restorative procedures like fillings, crowns, and root canals. Coverage varies, so it’s best to check with your provider or ask our front desk team for assistance.

    10. It depends on the treatment. Fillings may take 30–60 minutes, while crowns and bridges may require two visits. Root canals can take one or more sessions, depending on complexity. Your dentist will give you a clear timeline during consultation.